Antibody data
- Antibody Data
- Antigen structure
- References [0]
- Comments [0]
- Validations
- Immunocytochemistry [2]
- Immunohistochemistry [5]
Submit
Validation data
Reference
Comment
Report error
- Product number
- PA5-63922 - Provider product page 
- Provider
- Invitrogen Antibodies
- Product name
- C15orf41 Polyclonal Antibody
- Antibody type
- Polyclonal
- Antigen
- Recombinant protein fragment
- Description
- Immunogen sequence: TKAQYDEIAQ CLVSVPPTRQ SLRKLKQRFP SQSQATLLSI FSQEYQKHIK RTHAKHHTSE AIESYYQRYL NGVVKNGAAP VLLDLA Highest antigen sequence identity to the following orthologs: Mouse - 95%, Rat - 94%.
- Reactivity
- Human
- Host
- Rabbit
- Isotype
- IgG
- Vial size
- 100 μL
- Concentration
- 0.1 mg/mL
- Storage
- Store at 4°C short term. For long term storage, store at -20°C, avoiding freeze/thaw cycles.
				No comments: Submit comment	
	
			
							
					Supportive validation
					
									
				
				- Submitted by
- Invitrogen Antibodies (provider)
- Main image
 
- Experimental details
- Immunofluorescent staining of C15orf41 in human cell line A549 using a C15orf41 Polyclonal Antibody (Product # PA5-63922) shows localization to nucleoplasm.
- Submitted by
- Invitrogen Antibodies (provider)
- Main image
 
- Experimental details
- Immunofluorescent staining of C15orf41 in human cell line A549 using a C15orf41 Polyclonal Antibody (Product # PA5-63922) shows localization to nucleoplasm.
							
					Supportive validation
					
									
				
		- Submitted by
- Invitrogen Antibodies (provider)
- Main image
 
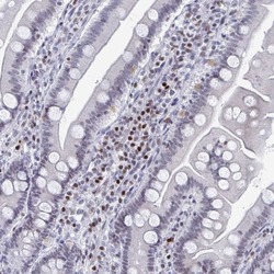
- Experimental details
- Immunohistochemical analysis of C15orf41 in human duodenum using C15orf41 Polyclonal Antibody (Product # PA5-63922) shows strong nuclear positivity in lymphoid cells.
- Submitted by
- Invitrogen Antibodies (provider)
- Main image
 
- Experimental details
- Immunohistochemical analysis of C15orf41 in human lymph node using C15orf41 Polyclonal Antibody (Product # PA5-63922) shows strong nuclear positivity in non-germinal center cells.
- Submitted by
- Invitrogen Antibodies (provider)
- Main image
 
- Experimental details
- Immunohistochemical analysis of C15orf41 in human skeletal muscle using C15orf41 Polyclonal Antibody (Product # PA5-63922) shows no positivity in myocytes as expected.
- Submitted by
- Invitrogen Antibodies (provider)
- Main image
 
- Experimental details
- Immunohistochemical analysis of C15orf41 in human cerebellum using C15orf41 Polyclonal Antibody (Product # PA5-63922) shows no positivity in Purkinje cells as expected.
- Submitted by
- Invitrogen Antibodies (provider)
- Main image
 
- Experimental details
- Immunohistochemical analysis of C15orf41 in human skeletal muscle using C15orf41 Polyclonal Antibody (Product # PA5-63922) shows no positivity in myocytes as expected.