Antibody data
- Antibody Data
- Antigen structure
- References [0]
- Comments [0]
- Validations
- Immunocytochemistry [2]
- Immunohistochemistry [1]
Submit
Validation data
Reference
Comment
Report error
- Product number
- PA5-110416 - Provider product page

- Provider
- Invitrogen Antibodies
- Product name
- SOX5 Polyclonal Antibody
- Antibody type
- Polyclonal
- Antigen
- Synthetic peptide
- Description
- Immunogen sequence: MSSKRPASPY GEADGEVAMV TSRQKVEEEE SDGLPAFHLP LHVSFPNKPH SEEFQPVSLL TQETCGHRTP TSQHNTMEVD GNKVMSSFAP HNSSTSPQKA EEGGRQSGES LSSTALGTPE
- Reactivity
- Human, Mouse, Rat
- Host
- Rabbit
- Isotype
- IgG
- Vial size
- 100 μL
- Concentration
- 2.38 mg/mL
- Storage
- -20°C, Avoid Freeze/Thaw Cycles
No comments: Submit comment
Supportive validation
- Submitted by
- Invitrogen Antibodies (provider)
- Main image

- Experimental details
- Immunocytochemistry analysis of SOX5 in MCF7. Samples were incubated in polyclonal SOX5 antibody (Product # PA5-110416) using a dilution of 1:50.
- Submitted by
- Invitrogen Antibodies (provider)
- Main image

- Experimental details
- Immunofluorescence analysis of SOX5 in MCF7 cells. Samples were incubated with SOX5 Polyclonal antibody (Product # PA5-110416).
Supportive validation
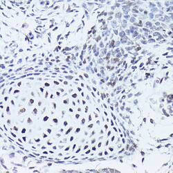
- Submitted by
- Invitrogen Antibodies (provider)
- Main image

- Experimental details
- Immunohistochemistry analysis of SOX5 in paraffin-embedded mouse embryos. Samples were incubated with SOX5 Polyclonal antibody (Product # PA5-110416) using a dilution of 1:50 (40x lens). Perform high pressure antigen retrieval with 10 mM citrate buffer pH 6.0 before commencing with IHC staining protocol.