Antibody data
- Antibody Data
- Antigen structure
- References [0]
- Comments [0]
- Validations
- Western blot [1]
- Immunohistochemistry [1]
Submit
Validation data
Reference
Comment
Report error
- Product number
- Ab111215 - Provider product page

- Provider
- Aladdin Scientific
- Product name
- Recombinant IRF3 Antibody
- Antibody type
- Recombinant
- Description
- Rabbit anti Human IRF3 Antibody, Recombinant, could be used for WB, IHC and so on.Application:WB: 1/500 - 1/1000IHC: 1/50-1/100Protein FunctionMediates interferon-stimulated response element (ISRE) promoter activation. Functions as a molecular switch for antiviral activity. DsRNA generated during the course of an viral infection leads to IRF3 phosphorylation on the C-terminal serine/threonine cluster. This induces a conformational change, leading to its dimerization, nuclear localization and association with CREB binding protein (CREBBP) to form dsRNA-activated factor 1 (DRAF1), a complex which activates the transcription of genes under the control of ISRE. The complex binds to the IE and PRDIII regions on the IFN-alpha and IFN-beta promoters respectively. IRF-3 does not have any transcription activation domains.Post-translationalConstitutively phosphorylated on many serines residues. C-terminal serine/threonine cluster is phosphorylated in response of induction by IKBKE and TBK1. Ser-385 and Ser-386 may be specifically phosphorylated in response to induction. An alternate model propose that the five serine/threonine residues between 396 and 405 are phosphorylated in response to a viral infection. Phosphorylation, and subsequent activation of IRF3 is inhibited by vaccinia virus protein E3.Ubiquitinated; ubiquitination involves RBCK1 leading to proteasomal degradation. Polyubiquitinated; ubiquitination involves TRIM21 leading to proteasomal degradation.ISGylated by HERC5 resulting in sustained IRF3 activation and in the inhibition of IRF3 ubiquitination by disrupting PIN1 binding. The phosphorylation state of IRF3 does not alter ISGylation.
- Reactivity
- Human
- Host
- Rabbit
- Conjugate
- Unconjugated
- Antigen sequence
AA 414-427- Vial size
- 100_l,10_l,1ml,50_l
- Concentration
- 0,3 mg/ml
- Storage
- Store at 4¡C short term (1-2 weeks). Store at -20¡C long term (24 months). Upon delivery aliquot. Avoid freeze/thaw cycle.
No comments: Submit comment
Supportive validation
- Submitted by
- Aladdin Scientific (provider)
- Main image

- Experimental details
- Recombinant IRF3 Antibody (Ab111215) - Western Blot All lanes: Recombinant IRF3 Antibody (Ab111215) at 1/1000 dilution Samples: Lysates at 20 µg per lane Secondary: Goat Anti-Rabbit IgG H&L (HRP) (Ab170144) at 1/20000 dilution Predicted band size: 47 kDa Observed band size: 50 kDa Exposure time: 30.0 s
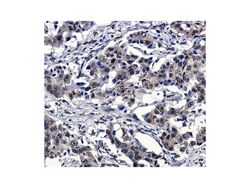
Supportive validation
- Submitted by
- Aladdin Scientific (provider)
- Main image

- Experimental details
- Recombinant IRF3 Antibody (Ab111215) - IHC Immunohistochemistry analysis of paraffin-embedded Human lung cancer using Recombinant IRF3 Antibody (Ab111215). High-pressure and temperature Sodium Citrate pH 6.0 was used for antigen retrieval.