14-9741-80
antibody from Invitrogen Antibodies
Targeting: ZEB1
AREB6, BZP, FECD6, NIL-2-A, PPCD3, TCF8, ZEB, Zfhep, Zfhx1a
Antibody data
- Antibody Data
- Antigen structure
- References [6]
- Comments [0]
- Validations
- Immunocytochemistry [1]
- Immunohistochemistry [1]
- Other assay [2]
Submit
Validation data
Reference
Comment
Report error
- Product number
- 14-9741-80 - Provider product page

- Provider
- Invitrogen Antibodies
- Product name
- ZEB1 Monoclonal Antibody (3G6), eBioscience™
- Antibody type
- Monoclonal
- Antigen
- Other
- Description
- Description: The monoclonal antibody 3G6 recognizes human, mouse, and rat ZEB1. ZEB1, or zinc finger E-box binding homeobox 1, is also known as Transcription Factor 8 (TCF8), Negative Regulator of IL2, and AREB6. ZEB1 acts as a transcriptional repressor that inhibits interleukin-2 (IL-2) gene expression. ZEB1 also regulates expression of the genes E-cadherin, BCL6, ATP1A1, and RCOR1 through binding to multiple enhancer boxes (E-boxes). ZEB1 promotes epithelial mesenchymal transition (EMT) and invasion of various types of cancers, such as colorectal, breast, pancreatic, lung, and gallbladder. In normal tissues, ZEB1 is expressed in tissues undergoing differentiation such as T cell and skeletal differentiation. Mutations in ZEB1 have been associated with corneal dystrophy. Applications Reported: This 3G6 antibody has been reported for use in western blotting, and immunohistochemical staining of formalin-fixed paraffin embedded tissue sections. Applications Tested: This 3G6 antibody has been tested by immunohistochemistry on formalin-fixed paraffin embedded human tissue using high pH antigen retrieval and can be used at less than or equal to 10 µg/mL. It is recommended that the antibody be carefully titrated for optimal performance in the assay of interest. Purity: Greater than 90%, as determined by SDS-PAGE. Aggregation: Less than 10%, as determined by HPLC. Filtration: 0.2 µm post-manufacturing filtered.
- Reactivity
- Human, Mouse, Rat
- Host
- Mouse
- Isotype
- IgG
- Antibody clone number
- 3G6
- Vial size
- 25 μg
- Concentration
- 0.5 mg/mL
- Storage
- 4°C
Submitted references SPARC Induces E-Cadherin Repression and Enhances Cell Migration through Integrin αvβ3 and the Transcription Factor ZEB1 in Prostate Cancer Cells.
Secreted protein acidic and rich in cysteine (SPARC) induces epithelial-mesenchymal transition, enhancing migration and invasion, and is associated with high Gleason score in prostate cancer.
Genetic Ancestry-dependent Differences in Breast Cancer-induced Field Defects in the Tumor-adjacent Normal Breast.
Transcription regulation of E-cadherin by zinc finger E-box binding homeobox proteins in solid tumors.
The transcription repressor, ZEB1, cooperates with CtBP2 and HDAC1 to suppress IL-2 gene activation in T cells.
A reciprocal repression between ZEB1 and members of the miR-200 family promotes EMT and invasion in cancer cells.
López-Moncada F, Torres MJ, Lavanderos B, Cerda O, Castellón EA, Contreras HR
International journal of molecular sciences 2022 May 24;23(11)
International journal of molecular sciences 2022 May 24;23(11)
Secreted protein acidic and rich in cysteine (SPARC) induces epithelial-mesenchymal transition, enhancing migration and invasion, and is associated with high Gleason score in prostate cancer.
López-Moncada F, Torres MJ, Castellón EA, Contreras HR
Asian journal of andrology 2019 Nov-Dec;21(6):557-564
Asian journal of andrology 2019 Nov-Dec;21(6):557-564
Genetic Ancestry-dependent Differences in Breast Cancer-induced Field Defects in the Tumor-adjacent Normal Breast.
Nakshatri H, Kumar B, Burney HN, Cox ML, Jacobsen M, Sandusky GE, D'Souza-Schorey C, Storniolo AMV
Clinical cancer research : an official journal of the American Association for Cancer Research 2019 May 1;25(9):2848-2859
Clinical cancer research : an official journal of the American Association for Cancer Research 2019 May 1;25(9):2848-2859
Transcription regulation of E-cadherin by zinc finger E-box binding homeobox proteins in solid tumors.
Wong TS, Gao W, Chan JY
BioMed research international 2014;2014:921564
BioMed research international 2014;2014:921564
The transcription repressor, ZEB1, cooperates with CtBP2 and HDAC1 to suppress IL-2 gene activation in T cells.
Wang J, Lee S, Teh CE, Bunting K, Ma L, Shannon MF
International immunology 2009 Mar;21(3):227-35
International immunology 2009 Mar;21(3):227-35
A reciprocal repression between ZEB1 and members of the miR-200 family promotes EMT and invasion in cancer cells.
Burk U, Schubert J, Wellner U, Schmalhofer O, Vincan E, Spaderna S, Brabletz T
EMBO reports 2008 Jun;9(6):582-9
EMBO reports 2008 Jun;9(6):582-9
No comments: Submit comment
Supportive validation
- Submitted by
- Invitrogen Antibodies (provider)
- Main image

- Experimental details
- Immunofluorescence analysis of ZEB1 was performed using 70% confluent log phase MDA-MB-231 cells. The cells were fixed with 4% paraformaldehyde for 10 minutes, permeabilized with 0.1% Triton™ X-100 for 15 minutes, and blocked with 2% BSA for 45 minutes at room temperature. The cells were labeled with ZEB1 Monoclonal Antibody (3G6), eBioscience (Product # 14-9741-80) at 0.5 µg/mL dilution in 0.1% BSA, incubated at 4 degree celsius overnight and then labeled with Donkey anti-Mouse IgG (H+L) Highly Cross-Adsorbed Secondary Antibody, Alexa Fluor Plus 488 (Product # A32766), (1:2000 dilution), for 45 minutes at room temperature (Panel a: Green). Nuclei (Panel b: Blue) were stained with ProLong™ Diamond Antifade Mountant with DAPI (Product # P36962). F-actin (Panel c: Red) was stained with Rhodamine Phalloidin (Product # R415, 1:300). Panel d represents the merged image showing predominantly nuclear localization. Panel e represents MCF7 cells with lower expression of ZEB1 (DOI: 10.1242/jcs.084194). Panel f represents control cells with no primary antibody to assess background. The images were captured at 60x magnification.
Supportive validation
- Submitted by
- Invitrogen Antibodies (provider)
- Main image

- Experimental details
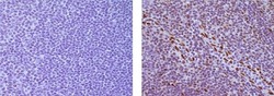
- Immunohistochemistry of formalin-fixed paraffin embedded human tonsil tissue using 10 µg/mL Mouse IgG2a K Isotype Control Purified (left) or 10 µg/mL Anti-ZEB1 Purified (right) followed by Anti-Mouse Biotin, Streptavidin-HRP, and DAB visualization.Nuclei are counterstained with hematoxylin.
Supportive validation
- Submitted by
- Invitrogen Antibodies (provider)
- Main image

- Experimental details
- ZEB1 directly suppresses transcription of miR-141 and miR-200c. ( A ) Schematic of the genomic organization of hsa-miR-141 and hsa-miR-200c on chromosome 12p13.31, and alignment of the highly conserved Z- and E-boxes. The putative ZEB1 binding sites, the cloned promoter and spacer sequence, as well as the region amplified for ChIP, are indicated. All numbers are relative to the start of the hsa-miR-200c stem-loop sequence. ( B ) Left panel: stable ZEB1 knockdown in the indicated undifferentiated colorectal (SW480), breast (MDA-MB231) and pancreatic (Panc-1) cell clones enhances the activity of the putative promoter, but does not or only weakly enhances the activity of the spacer sequence. The mean values of the corresponding short hairpin control (shCtl) clones were set to 1. Middle panel: overexpression of ZEB1 and to a lesser extent that of Snai1 in HCT116 cells repress the activity of the promoter but not the spacer sequence in a dose-dependant manner. The absolute transcriptional activity of the promoter was 55-fold higher than the activity of the spacer sequence. Right panel: mutations (mut) of the Z-boxes render the promoter less sensitive to suppression by ZEB1. ( C ) Electromobility shift assay using recombinant DNA-binding domain of ZEB1 (left panel) or nuclear extracts from SW480 colorectal cancer cells (right panel) and the indicated labelled probes. Mutation of the two conserved Z-boxes (Z1, Z2) strongly reduced the specific binding complex (asterisk). Three diffe
- Submitted by
- Invitrogen Antibodies (provider)
- Main image

- Experimental details
- Figure 3 Expression of EMT markers and EMT-TFs in PCa cell lines with SPARC knockdown and overexpression. ( a ) Western blot of EMT markers E-cadherin, N-cadherin and vimentin and ( b ) EMT-TFs Zeb1, Snail and Slug in PC3 cells transduced with shRNA against SPARC, LNCaP cells transduced with the SPARC sequence and its respective controls. Quantification of optic density was normalized to b-actin and parental cells, numbers show median ( n = 3). Relative mRNA expression of ( c ) EMT markers and ( d ) EMT-TFs, assessed by RT-qPCR ( n = 3); * P