Antibody data
- Antibody Data
- Antigen structure
- References [0]
- Comments [0]
- Validations
- Immunocytochemistry [1]
- Immunohistochemistry [3]
Submit
Validation data
Reference
Comment
Report error
- Product number
- PA5-52116 - Provider product page

- Provider
- Invitrogen Antibodies
- Product name
- GRHL2 Polyclonal Antibody
- Antibody type
- Polyclonal
- Antigen
- Recombinant protein fragment
- Description
- Immunogen sequence: NRVQVLKTVP VNLSLNQDHL ENSKREQYSI SFPESSAIIP VSGITVVKAE DFTPVFMAPP VHYPRGDGEE QRVVIFEQTQ YDVPSLATHS AYLKDDQRST PDSTYSESFK DAATEKFRSA SVGAEEYMYD QTSSGTFQYT LEATKSLRQK Highest antigen sequence identity to the following orthologs: Mouse - 87%, Rat - 87%.
- Reactivity
- Human
- Host
- Rabbit
- Isotype
- IgG
- Vial size
- 100 μL
- Concentration
- 0.2 mg/mL
- Storage
- Store at 4°C short term. For long term storage, store at -20°C, avoiding freeze/thaw cycles.
No comments: Submit comment
Supportive validation
- Submitted by
- Invitrogen Antibodies (provider)
- Main image

- Experimental details
- Immunofluorescent staining of GRHL2 in human cell line RT4 shows positivity in plasma membrane & nucleus but excluded from the nucleoli. Samples were probed using a GRHL2 Polyclonal Antibody (Product # PA5-52116).
Supportive validation
- Submitted by
- Invitrogen Antibodies (provider)
- Main image

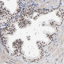
- Experimental details
- Immunohistochemical staining of GRHL2 in human prostate using a GRHL2 Polyclonal Antibody (Product # PA5-52116) shows strong nuclear positivity in glandular cells.
- Submitted by
- Invitrogen Antibodies (provider)
- Main image

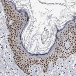
- Experimental details
- Immunohistochemical staining of GRHL2 in human skin using a GRHL2 Polyclonal Antibody (Product # PA5-52116) shows strong nuclear positivity in squamous epithelial cells.
- Submitted by
- Invitrogen Antibodies (provider)
- Main image

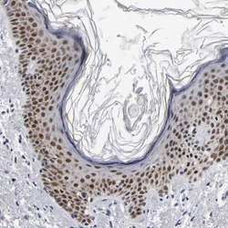
- Experimental details
- Immunohistochemical staining of GRHL2 in human skin using a GRHL2 Polyclonal Antibody (Product # PA5-52116) shows strong nuclear positivity in squamous epithelial cells.