Antibody data
- Antibody Data
- Antigen structure
- References [0]
- Comments [0]
- Validations
- Immunocytochemistry [1]
- Immunoprecipitation [2]
- Immunohistochemistry [2]
- Other assay [2]
Submit
Validation data
Reference
Comment
Report error
- Product number
- PA5-118336 - Provider product page

- Provider
- Invitrogen Antibodies
- Product name
- UCKL1 Polyclonal Antibody
- Antibody type
- Polyclonal
- Antigen
- Other
- Reactivity
- Human
- Host
- Rabbit
- Isotype
- IgG
- Vial size
- 100 μL
- Storage
- -20°C, Avoid Freeze/Thaw Cycles
No comments: Submit comment
Supportive validation
- Submitted by
- Invitrogen Antibodies (provider)
- Main image

- Experimental details
- Immunocytochemistry analysis of UCKL1 in U251MG cells. Samples were treated with 4% PFA, permeabilzed with 0.1% Triton X-100 in PBS, blocked with 10% serum, incubated with polyclonal antibody (Product # PA5-118336) with a dilution of 1: 200 (4°C overnight), followed by Alexa Fluor 488-conjugated Goat Anti-rabbit IgG secondary antibody (green) and DAPI (blue).
Supportive validation
- Submitted by
- Invitrogen Antibodies (provider)
- Main image

- Experimental details
- Immunoprecipitation of UCKL1 in Lane A: 0.5 mg HeLa Whole Cell Lysate. Samples were treated with 60 μg of immunomagnetic Protein A/G beads, incubated with polyclonal antibody (Product # PA5-118336) with a dilution of 1:100 , followed by Goat Anti-Rabbit IgG (H+L)/HRP using a dilution of 1:10,000. Assay was performed under reducing conditions. Predicted band size: 61 kDa , Observed band size : 61 kDa .
- Submitted by
- Invitrogen Antibodies (provider)
- Main image

- Experimental details
- UCKL1 Immunoprecipitation using: Lane A: 0.5 mg HeLa Whole Cell Lysate 4 µL with UCKL1 Polyclonal Antibody (Product # PA5-118336) and 60 μg of Immunomagnetic beads Protein A/G. Primary antibody: UCKL1 Polyclonal Antibody, at 1:100 dilution. Secondary antibody: Goat Anti-Rabbit IgG (H+L) /HRP at 1:10,000 dilution. Developed using the ECL technique. Performed under reducing conditions. Predicted band size: 61 kDa. Observed band size: 61 kDa.
Supportive validation
- Submitted by
- Invitrogen Antibodies (provider)
- Main image

- Experimental details
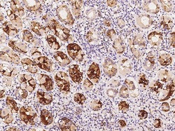
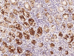
- Immunohistochemical staining of human UCKL1 in human stomach with UCKL1 Polyclonal Antibody (Product # PA5-118336, 1:100 dilution, formalin-fixed paraffin embedded sections).
- Submitted by
- Invitrogen Antibodies (provider)
- Main image

- Experimental details
- Immunohistochemistry (Paraffin) of UCKL1 in human stomach. Samples were incubated with polyclonal antibody (Product # PA5-118336) with a dilution of 1:100 .
Supportive validation
- Submitted by
- Invitrogen Antibodies (provider)
- Main image

- Experimental details
- Immunoprecipitation of UCKL1 in Lane A: 0.5 mg HeLa Whole Cell Lysate. Samples were treated with 60 μg of immunomagnetic Protein A/G beads, incubated with polyclonal antibody (Product # PA5-118336) with a dilution of 1:100 , followed by Goat Anti-Rabbit IgG (H+L)/HRP using a dilution of 1:10,000. Assay was performed under reducing conditions. Predicted band size: 61 kDa , Observed band size : 61 kDa .
- Submitted by
- Invitrogen Antibodies (provider)
- Main image

- Experimental details
- UCKL1 Immunoprecipitation using: Lane A: 0.5 mg HeLa Whole Cell Lysate 4 µL with UCKL1 Polyclonal Antibody (Product # PA5-118336) and 60 μg of Immunomagnetic beads Protein A/G. Primary antibody: UCKL1 Polyclonal Antibody, at 1:100 dilution. Secondary antibody: Goat Anti-Rabbit IgG (H+L) /HRP at 1:10,000 dilution. Developed using the ECL technique. Performed under reducing conditions. Predicted band size: 61 kDa. Observed band size: 61 kDa.