Antibody data
- Antibody Data
- Antigen structure
- References [0]
- Comments [0]
- Validations
- Western blot [2]
- ELISA [1]
- Immunohistochemistry [1]
- Flow cytometry [1]
Submit
Validation data
Reference
Comment
Report error
- Product number
- MAB12249 - Provider product page

- Provider
- Abnova Corporation
- Product name
- KHDRBS2 monoclonal antibody, clone 7G8C10
- Antibody type
- Monoclonal
- Description
- Mouse monoclonal antibody raised against partial recombinant human KHDRBS2.
- Isotype
- IgG
- Antibody clone number
- 7G8C10
- Storage
- Store at 4°C. For long term storage store at -20°C.Aliquot to avoid repeated freezing and thawing.
No comments: Submit comment
Supportive validation
- Submitted by
- Abnova Corporation (provider)
- Main image

- Experimental details
- Western blot analysis of human KHDRBS2 (AA: 160-349) recombinant protein (Expected MW is 46.3 kDa) with KHDRBS2 monoclonal antibody, clone 7G8C10 (Cat# MAB12249) at 1:500-1:2000 dilution.
- Submitted by
- Abnova Corporation (provider)
- Main image

- Experimental details
- Western blot analysis of Lane 1: K562 cell lysate; Lane 2: HEK293 cell lysate; Lane 3: NTERA-2 cell lysate; Lane 4: Hela cell lysate; Lane 5: HepG2 cell lysate; Lane 6: Jurkat cell lysate; Lane 7: A431 cell lysate; Lane 8: NIH/3T3 cell lysate with KHDRBS2 monoclonal antibody, clone 7G8C10 (Cat# MAB12249) at 1:500-1:2000 dilution.
Supportive validation
- Submitted by
- Abnova Corporation (provider)
- Main image

- Experimental details
- ELISA analysis of KHDRBS2 monoclonal antibody, clone 7G8C10 (Cat# MAB12249) at 1:10000 dilution.
- Validation comment
- ELISA
Supportive validation
- Submitted by
- Abnova Corporation (provider)
- Main image

- Experimental details
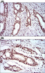
- Immunohistochemical staining of cervical cancer tissues (A) and colon cancer tissues (B) with KHDRBS2 monoclonal antibody, clone 7G8C10 (Cat# MAB12249) at 1:200-1:1000 dilution.
- Validation comment
- Immunohistochemistry (Formalin/PFA-fixed paraffin-embedded sections)
Supportive validation
- Submitted by
- Abnova Corporation (provider)
- Main image

- Experimental details
- Flow Cytometry analysis of K562 cells with KHDRBS2 monoclonal antibody, clone 7G8C10 (Cat# MAB12249) at 1:200-1:400 dilution (Green) and negative control (Red).
- Validation comment
- Flow Cytometry