Antibody data
- Antibody Data
- Antigen structure
- References [0]
- Comments [0]
- Validations
- Western blot [2]
- Immunohistochemistry [4]
Submit
Validation data
Reference
Comment
Report error
- Product number
- LS-C346175 - Provider product page
- Provider
- LSBio
- Product name
- NELFE / RD / RDBP Antibody LS-C346175
- Antibody type
- Polyclonal
- Description
- Affinity purified
- Reactivity
- Human
- Host
- Rabbit
- Isotype
- IgG
- Storage
- Store at -20°C. Avoid freeze-thaw cycles.
No comments: Submit comment
Enhanced validation
- Submitted by
- LSBio (provider)
- Enhanced method
- Genetic validation
- Main image
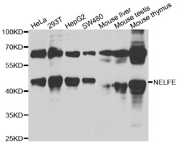
- Experimental details
- Western blot analysis of extracts of various cell lines.
- Submitted by
- LSBio (provider)
- Enhanced method
- Genetic validation
- Main image
- Experimental details
- Western blot analysis of extracts of various cell lines.
Supportive validation
- Submitted by
- LSBio (provider)
- Enhanced method
- Genetic validation
- Main image
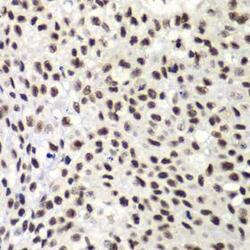
- Experimental details
- Immunohistochemistry of paraffin-embedded human lung cancer tissue.
- Submitted by
- LSBio (provider)
- Enhanced method
- Genetic validation
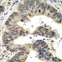
- Main image
- Experimental details
- Immunohistochemistry of paraffin-embedded human colon carcinoma tissue.
- Submitted by
- LSBio (provider)
- Enhanced method
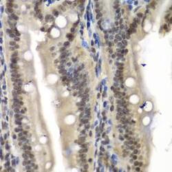
- Genetic validation
- Main image
- Experimental details
- Immunohistochemistry of paraffin-embedded mouse Intestine.
- Submitted by
- LSBio (provider)
- Enhanced method
- Genetic validation
- Main image
- Experimental details
- Immunohistochemistry of paraffin-embedded mouse liver tissue.