Antibody data
- Antibody Data
- Antigen structure
- References [0]
- Comments [0]
- Validations
- Western blot [2]
- Immunocytochemistry [1]
- Immunohistochemistry [7]
Submit
Validation data
Reference
Comment
Report error
- Product number
- PA5-52398 - Provider product page

- Provider
- Invitrogen Antibodies
- Product name
- RDBP Polyclonal Antibody
- Antibody type
- Polyclonal
- Antigen
- Recombinant protein fragment
- Description
- Immunogen sequence: LLALKKQSSS STTSQGGVKR SLSEQPVMDT ATATEQAKQL VKSGAISAIK AETKNSGFKR SRTLEGKLKD PEKGPVPTFQ PFQRSISADD DLQESSRRPQ RKSLYESFVS SSDRLRELGP DG Highest antigen sequence identity to the following orthologs: Mouse - 93%, Rat - 94%.
- Reactivity
- Human
- Host
- Rabbit
- Isotype
- IgG
- Vial size
- 100 μL
- Concentration
- 0.05 mg/mL
- Storage
- Store at 4°C short term. For long term storage, store at -20°C, avoiding freeze/thaw cycles.
No comments: Submit comment
Supportive validation
- Submitted by
- Invitrogen Antibodies (provider)
- Main image

- Experimental details
- Western blot analysis of RDBP in human cell line MOLT-4 using a RDBP Polyclonal Antibody (Product # PA5-52398).
- Submitted by
- Invitrogen Antibodies (provider)
- Main image

- Experimental details
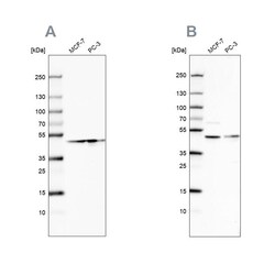
- Western blot analysis of RDBP using RDBP Polyclonal Antibody (Product # PA5-52398) (A) shows similar pattern to an independent RDBP Polyclonal Antibody (B).
Supportive validation
- Submitted by
- Invitrogen Antibodies (provider)
- Main image

- Experimental details
- Immunofluorescent staining of RDBP in human cell line U-251 MG shows positivity in mitochondria & nucleus but excluded from the nucleoli. Samples were probed using a RDBP Polyclonal Antibody (Product # PA5-52398).
Supportive validation
- Submitted by
- Invitrogen Antibodies (provider)
- Main image

- Experimental details
- Immunohistochemical staining of RDBP in human skeletal muscle using RDBP Polyclonal Antibody (Product # PA5-52398) shows no positivity in striated muscle fibers as expected.
- Submitted by
- Invitrogen Antibodies (provider)
- Main image

- Experimental details
- Immunohistochemical staining of RDBP in human testis and skeletal muscle tissues using RDBP Polyclonal Antibody (Product # PA5-52398). Corresponding NELFE RNA-seq data are presented for the same tissues.
- Submitted by
- Invitrogen Antibodies (provider)
- Main image

- Experimental details
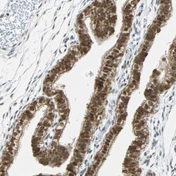
- Immunohistochemical staining of RDBP in human fallopian tube using RDBP Polyclonal Antibody (Product # PA5-52398) shows moderate to strong nuclear positivity in glandular cells.
- Submitted by
- Invitrogen Antibodies (provider)
- Main image

- Experimental details
- Immunohistochemical staining of RDBP in human small intestine using RDBP Polyclonal Antibody (Product # PA5-52398) shows weak to moderate nuclear positivity in glandular cells.
- Submitted by
- Invitrogen Antibodies (provider)
- Main image

- Experimental details
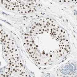
- Immunohistochemical staining of RDBP in human testis using RDBP Polyclonal Antibody (Product # PA5-52398) shows moderate to strong nuclear positivity in cells in seminiferous ducts.
- Submitted by
- Invitrogen Antibodies (provider)
- Main image

- Experimental details
- Immunohistochemical staining of RDBP in human skeletal muscle using RDBP Polyclonal Antibody (Product # PA5-52398) shows no positivity in striated muscle fibers as expected.
- Submitted by
- Invitrogen Antibodies (provider)
- Main image

- Experimental details
- Immunohistochemical staining of RDBP in human testis and skeletal muscle tissues using RDBP Polyclonal Antibody (Product # PA5-52398). Corresponding NELFE RNA-seq data are presented for the same tissues.