Antibody data
- Antibody Data
- Antigen structure
- References [0]
- Comments [0]
- Validations
- Immunocytochemistry [2]
- Immunohistochemistry [1]
Submit
Validation data
Reference
Comment
Report error
- Product number
- PA5-51954 - Provider product page

- Provider
- Invitrogen Antibodies
- Product name
- GNG2 Polyclonal Antibody
- Antibody type
- Polyclonal
- Antigen
- Recombinant protein fragment
- Description
- Immunogen sequence: ASIAQARKLV EQLKMEANID RIKVSKAAAD LMAYCEAHAK EDPLLTPVPA SENPFREK Highest antigen sequence identity to the following orthologs: Mouse - 100%, Rat - 79%.
- Reactivity
- Human
- Host
- Rabbit
- Isotype
- IgG
- Vial size
- 100 μL
- Concentration
- 0.1 mg/mL
- Storage
- Store at 4°C short term. For long term storage, store at -20°C, avoiding freeze/thaw cycles.
No comments: Submit comment
Supportive validation
- Submitted by
- Invitrogen Antibodies (provider)
- Main image

- Experimental details
- Immunofluorescent staining of GNG2 in human cell line U-2 OS shows positivity in plasma membrane & vesicles. Samples were probed using a GNG2 Polyclonal Antibody (Product # PA5-51954).
- Submitted by
- Invitrogen Antibodies (provider)
- Main image

- Experimental details
- Immunofluorecent analysis of GNG2 in human cell line U-2 OS using GNG2 Polyclonal Antibody (Product # PA5-51954). Staining shows localization to plasma membrane and vesicles.
Supportive validation
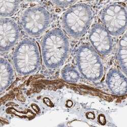
- Submitted by
- Invitrogen Antibodies (provider)
- Main image

- Experimental details
- Immunohistochemical staining of GNG2 in human colon using a GNG2 Polyclonal Antibody (Product # PA5-51954) shows distinct positivity in endothelial cells.