Antibody data
- Antibody Data
- Antigen structure
- References [0]
- Comments [0]
- Validations
- Immunocytochemistry [2]
- Immunohistochemistry [4]
Submit
Validation data
Reference
Comment
Report error
- Product number
- PA5-84509 - Provider product page

- Provider
- Invitrogen Antibodies
- Product name
- GTF2B Polyclonal Antibody
- Antibody type
- Polyclonal
- Antigen
- Recombinant protein fragment
- Description
- Immunogen sequence: LPRDTCPNHP DAILVEDYRA GDMICPECGL VVGDRVIDVG SEWRTFSNDK ATKDPSRVGD SQNPLLSDGD LSTMIGKGTG AASFDEFG
- Reactivity
- Human
- Host
- Rabbit
- Isotype
- IgG
- Vial size
- 100 μL
- Concentration
- 0.5 mg/mL
- Storage
- Store at 4°C short term. For long term storage, store at -20°C, avoiding freeze/thaw cycles.
No comments: Submit comment
Supportive validation
- Submitted by
- Invitrogen Antibodies (provider)
- Main image

- Experimental details
- Immunofluorescent analysis of GTF2B in HEK 293 cells using a GTF2B polyclonal antibody (Product # PA5-84509). The analysis shows localization to nucleus & nuclear bodies.
- Submitted by
- Invitrogen Antibodies (provider)
- Main image

- Experimental details
- Immunofluorecent analysis of GTF2B in human cell line HEK 293 using GTF2B Polyclonal Antibody (Product # PA5-84509). Staining shows localization to nucleus and nuclear bodies.
Supportive validation
- Submitted by
- Invitrogen Antibodies (provider)
- Main image

- Experimental details
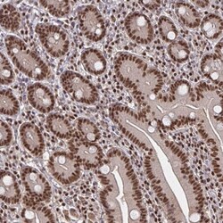
- Immunohistochemical analysis of GTF2B in human duodenum using GTF2B Polyclonal Antibody (Product # PA5-84509) shows strong nuclear positivity in glandular cells and lymphoid cells.
- Submitted by
- Invitrogen Antibodies (provider)
- Main image

- Experimental details
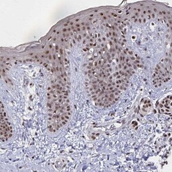
- Immunohistochemical analysis of GTF2B in human skin using GTF2B Polyclonal Antibody (Product # PA5-84509) shows strong nuclear positivity in squamous epithelial cells.
- Submitted by
- Invitrogen Antibodies (provider)
- Main image

- Experimental details
- Immunohistochemical analysis of GTF2B in human tonsil using GTF2B Polyclonal Antibody (Product # PA5-84509) shows strong nuclear positivity in non-germinal center cells and germinal center cells.
- Submitted by
- Invitrogen Antibodies (provider)
- Main image

- Experimental details
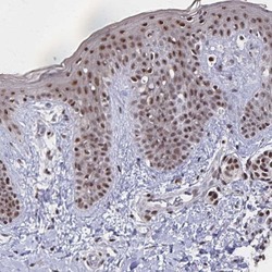
- Immunohistochemical analysis of GTF2B in human skin using GTF2B Polyclonal Antibody (Product # PA5-84509) shows strong nuclear positivity in squamous epithelial cells.