Antibody data
- Antibody Data
- Antigen structure
- References [0]
- Comments [0]
- Validations
- Western blot [1]
- Immunohistochemistry [2]
Submit
Validation data
Reference
Comment
Report error
- Product number
- PA5-98569 - Provider product page

- Provider
- Invitrogen Antibodies
- Product name
- ARMC9 Polyclonal Antibody
- Antibody type
- Polyclonal
- Antigen
- Recombinant full-length protein
- Reactivity
- Human
- Host
- Rabbit
- Isotype
- IgG
- Vial size
- 100 μg
- Concentration
- 3 mg/mL
- Storage
- -20°C or -80°C if preferred
No comments: Submit comment
Supportive validation
- Submitted by
- Invitrogen Antibodies (provider)
- Main image

- Experimental details
- Western Blot analysis of ARMC9 using a ARMC9 Polyclonal antibody (Product # PA5-98569) at a concentration of 6 µg/mL. Lane 1: Jurkat whole cell lysate. Lane 2: CEM whole cell lysate. A secondary Goat polyclonal antibody to rabbit IgG was applied at a 1:10,000 dilution. Observed band size: 76 kDa.
Supportive validation
- Submitted by
- Invitrogen Antibodies (provider)
- Main image

- Experimental details
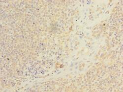
- Immunohistochemical analysis of ARMC9 in paraffin embedded human tonsil tissue using a ARMC9 polyclonal antibody (Product # PA5-98569) at a dilution of 1:100.
- Submitted by
- Invitrogen Antibodies (provider)
- Main image

- Experimental details
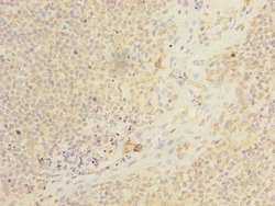
- Immunohistochemical analysis of ARMC9 in paraffin embedded human tonsil tissue using a ARMC9 polyclonal antibody (Product # PA5-98569) at a dilution of 1:100.