Antibody data
- Antibody Data
- Antigen structure
- References [0]
- Comments [0]
- Validations
- Immunohistochemistry [1]
Submit
Validation data
Reference
Comment
Report error
- Product number
- PA5-109554 - Provider product page

- Provider
- Invitrogen Antibodies
- Product name
- CLN8 Polyclonal Antibody
- Antibody type
- Polyclonal
- Antigen
- Synthetic peptide
- Description
- Immunogen sequence: MFHCRMVLTY HMWWVCFWHW DGLVSSLYLP HLTLFLVGLA LLTLIINPYW THKKTQQLLN PVDWNFAQPE AKSRPEGNGQ LLRKKRP
- Reactivity
- Human
- Host
- Rabbit
- Isotype
- IgG
- Vial size
- 100 μL
- Concentration
- 1.1 mg/mL
- Storage
- -20°C, Avoid Freeze/Thaw Cycles
No comments: Submit comment
Supportive validation
- Submitted by
- Invitrogen Antibodies (provider)
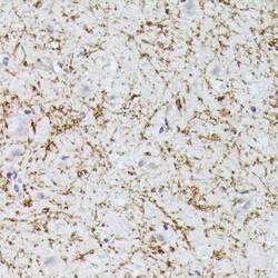
- Main image

- Experimental details
- Immunohistochemistry analysis of CLN8 in paraffin-embedded human brain. Samples were incubated with CLN8 Polyclonal antibody (Product # PA5-109554) using a dilution of 1:300 (40x lens). Perform high pressure antigen retrieval with 10 mM citrate buffer pH 6.0 before commencing with IHC staining protocol.