PA5-30575
antibody from Invitrogen Antibodies
Targeting: POLR1D
AC19, MGC9850, RPA16, RPA9, RPAC2, RPO1-3
Antibody data
- Antibody Data
- Antigen structure
- References [1]
- Comments [0]
- Validations
- Immunocytochemistry [2]
- Immunohistochemistry [1]
- Chromatin Immunoprecipitation [2]
- Other assay [1]
Submit
Validation data
Reference
Comment
Report error
- Product number
- PA5-30575 - Provider product page

- Provider
- Invitrogen Antibodies
- Product name
- POLR1D Polyclonal Antibody
- Antibody type
- Polyclonal
- Antigen
- Recombinant full-length protein
- Description
- Recommended positive controls: A549, HeLa, HepG2, HCT116. Predicted reactivity: Mouse (90%), Rhesus Monkey (99%), Bovine (94%). Store product as a concentrated solution. Centrifuge briefly prior to opening the vial.
- Reactivity
- Human
- Host
- Rabbit
- Isotype
- IgG
- Vial size
- 100 μL
- Concentration
- 1 mg/mL
- Storage
- Store at 4°C short term. For long term storage, store at -20°C, avoiding freeze/thaw cycles.
Submitted references Interaction between the BAG1S isoform and HSP70 mediates the stability of anti-apoptotic proteins and the survival of osteosarcoma cells expressing oncogenic MYC.
Gennaro VJ, Wedegaertner H, McMahon SB
BMC cancer 2019 Mar 22;19(1):258
BMC cancer 2019 Mar 22;19(1):258
No comments: Submit comment
Supportive validation
- Submitted by
- Invitrogen Antibodies (provider)
- Main image

- Experimental details
- Immunofluorescence analysis of POLR1D was performed using 70% confluent log phase A549 cells. The cells were fixed with 4% paraformaldehyde for 10 minutes, permeabilized with 0.1% Triton™ X-100 for 15 minutes, and blocked with 1% BSA for 1 hour at room temperature. The cells were labeled with POLR1D Polyclonal Antibody (Product # PA5-30575) at 1:200 dilution in 0.1% BSA, incubated at 4 degree Celsius overnight and then labeled with Goat anti-Rabbit IgG (H+L) Superclonal™ Secondary Antibody, Alexa Fluor® 488 conjugate (Product # A27034) at a dilution of 1:2000 for 45 minutes at room temperature (Panel a: green). Nuclei (Panel b: blue) were stained with ProLong™ Diamond Antifade Mountant with DAPI (Product # P36962). F-actin (Panel c: red) was stained with Rhodamine Phalloidin (Product # R415). Panel d represents the merged image showing Nuclear localization. Panel e represents control cells with no primary antibody to assess background. The images were captured at 60X magnification.
- Submitted by
- Invitrogen Antibodies (provider)
- Main image

- Experimental details
- Immunofluorescence analysis of POLR1D was performed using 70% confluent log phase A549 cells. The cells were fixed with 4% paraformaldehyde for 10 minutes, permeabilized with 0.1% Triton™ X-100 for 15 minutes, and blocked with 1% BSA for 1 hour at room temperature. The cells were labeled with POLR1D Polyclonal Antibody (Product # PA5-30575) at 1:200 dilution in 0.1% BSA, incubated at 4 degree Celsius overnight and then labeled with Goat anti-Rabbit IgG (Heavy Chain) Superclonal™ Secondary Antibody, Alexa Fluor® 488 conjugate (Product # A27034) at a dilution of 1:2000 for 45 minutes at room temperature (Panel a: green). Nuclei (Panel b: blue) were stained with ProLong™ Diamond Antifade Mountant with DAPI (Product # P36962). F-actin (Panel c: red) was stained with Rhodamine Phalloidin (Product # R415). Panel d represents the merged image showing Nuclear localization. Panel e represents control cells with no primary antibody to assess background. The images were captured at 60X magnification.
Supportive validation
- Submitted by
- Invitrogen Antibodies (provider)
- Main image

- Experimental details
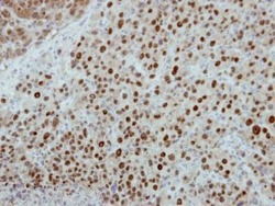
- Immunohistochemical analysis of paraffin-embedded HBL435 xenograft, using POLR1D (Product # PA5-30575) antibody at 1:500 dilution. Antigen Retrieval: Citrate buffer, pH 6.0, 15 min.
Supportive validation
- Submitted by
- Invitrogen Antibodies (provider)
- Main image

- Experimental details
- Chromatin immunoprecipitation analysis of POLR1D was performed using cross-linked chromatin from 1x10^6 HCT116 colon carcinoma cells treated with serum for 0 and 30 minutes. Immunoprecipitation was performed using a multiplex microplate Matrix ChIP assay (see reference for Matrix ChIP protocol: http://www.ncbi.nlm.nih.gov/pubmed/22098709) with 1.0 µL/100 µL well volume of a POLR1D polyclonal antibody (Product # PA5-30575). Chromatin aliquots from ~1x10^5 cells were used per ChIP pull-down. Quantitative PCR data were done in quadruplicate using 1 µL of eluted DNA in 2 µL SYBR real-time PCR reactions containing primers to amplify exon-1 of the RNA5-8S5 gene or -20 kb upstream of the LAMC1 gene. PCR calibration curves were generated for each primer pair from a dilution series of sheared total genomic DNA. Quantitation of immunoprecipitated chromatin is presented as signal relative to the total amount of input chromatin. Results represent the mean +/- SEM for three experiments. A schematic representations of the RNA5-8S5 and LAMC1 loci are shown above the data where boxes represent exons (black boxes = translated regions, white boxes = untranslated regions), the zigzag line represents an intron, and the straight line represents upstream sequence. Regions amplified by RNA5-8S5 and LAMC1 primers are represented by black bars. Data courtesy of the Innovators Program.
- Submitted by
- Invitrogen Antibodies (provider)
- Main image

- Experimental details
- Chromatin immunoprecipitation analysis of POLR1D was performed using cross-linked chromatin from 1x10^6 HCT116 colon carcinoma cells treated with serum for 0 and 30 minutes. Immunoprecipitation was performed using a multiplex microplate Matrix ChIP assay (see reference for Matrix ChIP protocol: http://www.ncbi.nlm.nih.gov/pubmed/22098709) with 1.0 µL/100 µL well volume of a POLR1D polyclonal antibody (Product # PA5-30575). Chromatin aliquots from ~1x10^5 cells were used per ChIP pull-down. Quantitative PCR data were done in quadruplicate using 1 µL of eluted DNA in 2 µL SYBR real-time PCR reactions containing primers to amplify exon-1 of the RNA5-8S5 gene or -20 kb upstream of the LAMC1 gene. PCR calibration curves were generated for each primer pair from a dilution series of sheared total genomic DNA. Quantitation of immunoprecipitated chromatin is presented as signal relative to the total amount of input chromatin. Results represent the mean +/- SEM for three experiments. A schematic representations of the RNA5-8S5 and LAMC1 loci are shown above the data where boxes represent exons (black boxes = translated regions, white boxes = untranslated regions), the zigzag line represents an intron, and the straight line represents upstream sequence. Regions amplified by RNA5-8S5 and LAMC1 primers are represented by black bars. Data courtesy of the Innovators Program.
Supportive validation
- Submitted by
- Invitrogen Antibodies (provider)
- Main image

- Experimental details
- Fig. 4 Proteomic analysis identified proteins upregulated in the presence of pro-survival HSP70/BAG1S complex. a U2OS MYC-ER cells expressing ectopic vector, BAG1S, or BAG1DeltaS depleted of endogenous BAG1 protein. MYC activity induced for 12 or 24 h with +-100 nM 4-OHT treatment. Lysates analyzed via IB to detect changes in known HSP70 chaperone client proteins GCR, XIAP and RAF1. b Schematic of experimental conditions representing endogenous BAG1 (vector - shLUC), BAG1 knockdown (vector - shBAG1), BAG1S only (BAG1S - shBAG1), or BAG1DeltaS only (BAG1DeltaS - shBAG1) evaluated for differences in global protein levels. Proteomics analysis outlined with exclusion criteria for significant protein differences between samples. c Efficient knockdown of endogenous BAG1 and rescue of BAG1S and BAG1DeltaS shown by IB for samples subjected to proteomics analysis. d Proteomic hits assessed based on schematic of compiled proteins with >=|1.5| fold change in knockdown compared to control and p =10% constitutes a partial rescue. Overlapping proteins with BAG1S or BAG1DeltaS indicative of proteins rescued by either ectopic protei