Antibody data
- Antibody Data
- Antigen structure
- References [1]
- Comments [0]
- Validations
- Immunohistochemistry [2]
Submit
Validation data
Reference
Comment
Report error
- Product number
- PA5-40954 - Provider product page 
- Provider
- Invitrogen Antibodies
- Product name
- ASPH Polyclonal Antibody
- Antibody type
- Polyclonal
- Antigen
- Synthetic peptide
- Description
- Peptide sequence: PEEAEPHTEP EEQVPVEAEP QNIEDEAKEQ IQSLLHEMVH AEHVEGEDLQ Sequence homology: Cow: 77%; Human: 100%; Mouse: 86%; Pig: 79%; Rat: 83%
- Reactivity
- Human
- Host
- Rabbit
- Isotype
- IgG
- Vial size
- 100 μL
- Concentration
- 0.5 mg/mL
- Storage
- -20°C, Avoid Freeze/Thaw Cycles
Submitted references		Labyrinthin: A distinct pan-adenocarcinoma diagnostic and immunotherapeutic tumor specific antigen.
				
		
	
			Babich M, Sharma A, Li T, Radosevich JA
Heliyon 2022 Mar;8(3):e08988
		Heliyon 2022 Mar;8(3):e08988
				No comments: Submit comment	
	
			
							
					Supportive validation
					
									
				
		- Submitted by
- Invitrogen Antibodies (provider)
- Main image
 
- Experimental details
- Immunohistochemistry (paraffin-embedded) analysis of human adult heart tissue using an anti-ASPH polyclonal antibody (Product # PA5-40954).
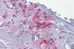
- Submitted by
- Invitrogen Antibodies (provider)
- Main image
 
- Experimental details
- Immunohistochemistry (paraffin-embedded) analysis of small intestine, myenteric plexus tissue using an anti-ASPH polyclonal antibody (Product # PA5-40954).