Antibody data
- Antibody Data
- Antigen structure
- References [0]
- Comments [0]
- Validations
- Immunocytochemistry [2]
- Immunohistochemistry [5]
Submit
Validation data
Reference
Comment
Report error
- Product number
- PA5-52876 - Provider product page
- Provider
- Invitrogen Antibodies
- Product name
- CCDC90B Polyclonal Antibody
- Antibody type
- Polyclonal
- Antigen
- Recombinant protein fragment
- Description
- Immunogen sequence: MNSRQAWRLL LSQGRGDRWV SRPRGHFSPA LRREFFTTTT KEGYDRRPVD ITPLEQRKLT FDTHALVQDL ETHGFDKTQA ETIVSALTAL SNVSLDTIYK EMVTQAQQEI TVQQL Highest antigen sequence identity to the following orthologs: Mouse - 80%, Rat - 75%.
- Reactivity
- Human
- Host
- Rabbit
- Isotype
- IgG
- Vial size
- 100 µL
- Concentration
- 0.5 mg/mL
- Storage
- Store at 4°C short term. For long term storage, store at -20°C, avoiding freeze/thaw cycles.
No comments: Submit comment
Supportive validation
- Submitted by
- Invitrogen Antibodies (provider)
- Main image
- Experimental details
- Immunofluorescent staining of CCDC90B in human cell line U-2 OS shows positivity in mitochondria. Samples were probed using a CCDC90B Polyclonal Antibody (Product # PA5-52876).
- Submitted by
- Invitrogen Antibodies (provider)
- Main image
- Experimental details
- Immunofluorecent analysis of CCDC90B in human cell line U-2 OS using CCDC90B Polyclonal Antibody (Product # PA5-52876). Staining shows localization to mitochondria.
Supportive validation
- Submitted by
- Invitrogen Antibodies (provider)
- Main image
- Experimental details
- Immunohistochemical analysis of CCDC90B in human cerebellum using CCDC90B Polyclonal Antibody (Product # PA5-52876) shows strong granular cytoplasmic positivity in Purkinje cells.
- Submitted by
- Invitrogen Antibodies (provider)
- Main image
- Experimental details
- Immunohistochemical staining of CCDC90B in human testis and skin tissues using CCDC90B Polyclonal Antibody (Product # PA5-52876). Corresponding CCDC90B RNA-seq data are presented for the same tissues.
- Submitted by
- Invitrogen Antibodies (provider)
- Main image
- Experimental details
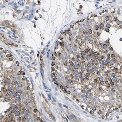
- Immunohistochemical staining of CCDC90B in human testis using CCDC90B Polyclonal Antibody (Product # PA5-52876) shows high expression.
- Submitted by
- Invitrogen Antibodies (provider)
- Main image
- Experimental details
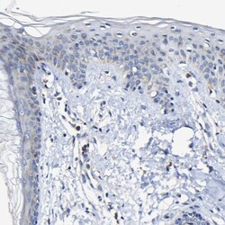
- Immunohistochemical staining of CCDC90B in human skin using CCDC90B Polyclonal Antibody (Product # PA5-52876) shows low expression as expected.
- Submitted by
- Invitrogen Antibodies (provider)
- Main image
- Experimental details
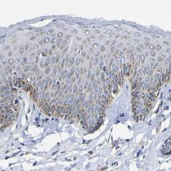
- Immunohistochemical analysis of CCDC90B in human skin using CCDC90B Polyclonal Antibody (Product # PA5-52876) shows moderate granular cytoplasmic positivity in squamous epithelial cells.