Antibody data
- Antibody Data
- Antigen structure
- References [1]
- Comments [0]
- Validations
- Immunohistochemistry [2]
- Other assay [1]
Submit
Validation data
Reference
Comment
Report error
- Product number
- PA5-67547 - Provider product page

- Provider
- Invitrogen Antibodies
- Product name
- UBE2W Polyclonal Antibody
- Antibody type
- Polyclonal
- Antigen
- Other
- Description
- Predicted to react with Rat samples.
- Reactivity
- Human, Rat
- Host
- Rabbit
- Isotype
- IgG
- Vial size
- 100 μL
- Concentration
- 1.4 mg/mL
- Storage
- -20°C
Submitted references Antibody toolkit reveals N-terminally ubiquitinated substrates of UBE2W.
Davies CW, Vidal SE, Phu L, Sudhamsu J, Hinkle TB, Chan Rosenberg S, Schumacher FR, Zeng YJ, Schwerdtfeger C, Peterson AS, Lill JR, Rose CM, Shaw AS, Wertz IE, Kirkpatrick DS, Koerber JT
Nature communications 2021 Jul 29;12(1):4608
Nature communications 2021 Jul 29;12(1):4608
No comments: Submit comment
Supportive validation
- Submitted by
- Invitrogen Antibodies (provider)
- Main image

- Experimental details
- Immunohistochemical analysis of UBE2W in paraffin-embedded Human cervical cancer tissue using (left) UBE2W Polyclonal Antibody (Product # PA5-67547) at a 1:100 dilution and (right) is treated with fusion protein. (Original magnification: x200).
- Submitted by
- Invitrogen Antibodies (provider)
- Main image

- Experimental details
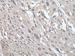
- Immunohistochemical analysis of UBE2W in paraffin-embedded Human esophagus cancer tissue using (left) UBE2W Polyclonal Antibody (Product # PA5-67547) at a 1:100 dilution and (right) is treated with fusion protein. (Original magnification: x200).
Supportive validation
- Submitted by
- Invitrogen Antibodies (provider)
- Main image

- Experimental details
- Fig. 7 UCHL1 and UCHL5 are substrates of UBE2W. a In vitro ubiquitination assays were performed on lysine-less (K0) catalytically inactive UCHL1 C90S (top) and UCHL5 C88S (bottom). Two-hour reactions were carried out in the absence of UBE2W (lane 1 and 2) and the presence of UBE2W (lane 3-5). All reactions were incubated with E1, E3 (RNF4), ATP/MgCl 2 , and with (lane 2) or without (lane 5) ubiquitin. Results are representative of three independent experiments. b Western blots of doxycycline-inducible UBE2W/RNF4 and UBE2W W144E /RNF4 HEK293 cells at 24 h post doxycycline treatment. Endogenous UCHL1 expression was analyzed with an anti-UCHL1 antibody. Results are representative of three independent experiments. Source data are provided as a Source Data file.