Antibody data
- Antibody Data
- Antigen structure
- References [0]
- Comments [0]
- Validations
- Immunohistochemistry [1]
Submit
Validation data
Reference
Comment
Report error
- Product number
- PA5-29519 - Provider product page

- Provider
- Invitrogen Antibodies
- Product name
- CDS1 Polyclonal Antibody
- Antibody type
- Polyclonal
- Antigen
- Recombinant full-length protein
- Description
- Recommended positive controls: A431, H1299, HeLa, Molt-4, Raji. Predicted reactivity: Mouse (96%), Rat (96%), Pig (96%). Store product as a concentrated solution. Centrifuge briefly prior to opening the vial.
- Reactivity
- Human, Mouse
- Host
- Rabbit
- Isotype
- IgG
- Vial size
- 100 μL
- Concentration
- 1 mg/mL
- Storage
- Store at 4°C short term. For long term storage, store at -20°C, avoiding freeze/thaw cycles.
No comments: Submit comment
Supportive validation
- Submitted by
- Invitrogen Antibodies (provider)
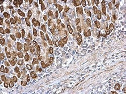
- Main image

- Experimental details
- CDS1 Polyclonal Antibody detects CDS1 protein at cytosol on mouse stomach by immunohistochemical analysis. Sample: Paraffin-embedded mouse stomach. CDS1 Polyclonal Antibody (Product # PA5-29519) dilution: 1:500. Antigen Retrieval: EDTA based buffer, pH 8.0, 15 min.