Antibody data
- Antibody Data
- Antigen structure
- References [0]
- Comments [0]
- Validations
- Immunocytochemistry [1]
- Immunohistochemistry [6]
Submit
Validation data
Reference
Comment
Report error
- Product number
- PA5-52003 - Provider product page

- Provider
- Invitrogen Antibodies
- Product name
- PNMA1 Polyclonal Antibody
- Antibody type
- Polyclonal
- Antigen
- Recombinant protein fragment
- Description
- Immunogen sequence: MDVNSQRALL VWGIPVNCDE AEIEETLQAA MPQVSYRMLG RMFWREENAK AALLELTGAV DYAAIPREMP GKGGVWKVLF KPPTSDAEFL ERLHLFLARE GWTVQDVARV LGFQNPTPTP GPEMPAEMLN YILDNVIQPL VESIWYKRLT L Highest antigen sequence identity to the following orthologs: Mouse - 93%, Rat - 93%.
- Reactivity
- Human
- Host
- Rabbit
- Isotype
- IgG
- Vial size
- 100 μL
- Concentration
- 0.1 mg/mL
- Storage
- Store at 4°C short term. For long term storage, store at -20°C, avoiding freeze/thaw cycles.
No comments: Submit comment
Supportive validation
- Submitted by
- Invitrogen Antibodies (provider)
- Main image

- Experimental details
- Immunofluorescent staining of PNMA1 in human cell line A-431 shows positivity in cytoplasm. Samples were probed using a PNMA1 Polyclonal Antibody (Product # PA5-52003).
Supportive validation
- Submitted by
- Invitrogen Antibodies (provider)
- Main image

- Experimental details
- Immunohistochemical analysis of PNMA1 in human cerebral cortex using PNMA1 Polyclonal Antibody (Product # PA5-52003) shows strong nuclear positivity in neurons.
- Submitted by
- Invitrogen Antibodies (provider)
- Main image

- Experimental details
- Immunohistochemical staining of PNMA1 in human cerebral cortex and pancreas tissues using PNMA1 Polyclonal Antibody (Product # PA5-52003). Corresponding PNMA1 RNA-seq data are presented for the same tissues.
- Submitted by
- Invitrogen Antibodies (provider)
- Main image

- Experimental details
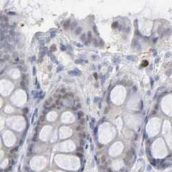
- Immunohistochemical staining of PNMA1 in human colon using PNMA1 Polyclonal Antibody (Product # PA5-52003).
- Submitted by
- Invitrogen Antibodies (provider)
- Main image

- Experimental details
- Immunohistochemical staining of PNMA1 in human cerebral cortex, colon, hippocampus and testis using PNMA1 Polyclonal Antibody (Product # PA5-52003) (A) shows similar protein distribution across tissues to an independent PNMA1 Polyclonal Antibody (B).
- Submitted by
- Invitrogen Antibodies (provider)
- Main image

- Experimental details
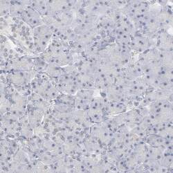
- Immunohistochemical staining of PNMA1 in human pancreas using PNMA1 Polyclonal Antibody (Product # PA5-52003) shows low expression as expected.
- Submitted by
- Invitrogen Antibodies (provider)
- Main image

- Experimental details
- Immunohistochemical staining of PNMA1 in human hippocampus using PNMA1 Polyclonal Antibody (Product # PA5-52003).