Antibody data
- Antibody Data
- Antigen structure
- References [0]
- Comments [0]
- Validations
- Immunocytochemistry [3]
- Immunohistochemistry [6]
Submit
Validation data
Reference
Comment
Report error
- Product number
- PA5-57160 - Provider product page

- Provider
- Invitrogen Antibodies
- Product name
- GKAP1 Polyclonal Antibody
- Antibody type
- Polyclonal
- Antigen
- Recombinant protein fragment
- Description
- Immunogen sequence: KNHQGKDRPL TVSLKDFHSE DHISKKTEEL SSSQTLSHDG GFFNRLEDDV HKILIREKRR EQLTEYNGTD NCTAHEHNQA LVLKDG Highest antigen sequence identity to the following orthologs: Mouse - 83%, Rat - 85%.
- Reactivity
- Human
- Host
- Rabbit
- Isotype
- IgG
- Vial size
- 100 μL
- Concentration
- 0.1 mg/mL
- Storage
- Store at 4°C short term. For long term storage, store at -20°C, avoiding freeze/thaw cycles.
No comments: Submit comment
Supportive validation
- Submitted by
- Invitrogen Antibodies (provider)
- Main image

- Experimental details
- Immunofluorescent staining of GKAP1 in human cell line U-251 MG shows positivity in cytoplasm & centrosome. Samples were probed using a GKAP1 Polyclonal Antibody (Product # PA5-57160).
- Submitted by
- Invitrogen Antibodies (provider)
- Main image

- Experimental details
- Immunofluorescent staining of GKAP1 in human cell line U-2 OS using a GKAP1 Polyclonal Antibody (Product # PA5-57160) shows localization to cytosol and microtubule organizing center.
- Submitted by
- Invitrogen Antibodies (provider)
- Main image

- Experimental details
- Immunofluorescent staining of GKAP1 in human cell line U-2 OS using a GKAP1 Polyclonal Antibody (Product # PA5-57160) shows localization to cytosol and microtubule organizing center.
Supportive validation
- Submitted by
- Invitrogen Antibodies (provider)
- Main image

- Experimental details
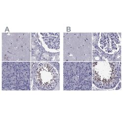
- Immunohistochemical staining of GKAP1 in human cerebral cortex, kidney, pancreas and testis using GKAP1 Polyclonal Antibody (Product # PA5-57160) (A) shows similar protein distribution across tissues to an independent GKAP1 Polyclonal Antibody (B).
- Submitted by
- Invitrogen Antibodies (provider)
- Main image

- Experimental details
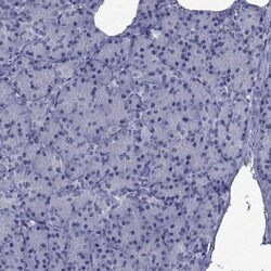
- Immunohistochemical staining of GKAP1 in human pancreas using GKAP1 Polyclonal Antibody (Product # PA5-57160) shows low expression as expected.
- Submitted by
- Invitrogen Antibodies (provider)
- Main image

- Experimental details
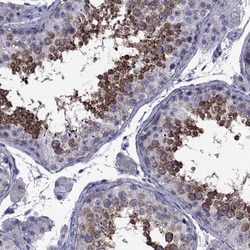
- Immunohistochemical staining of GKAP1 in human testis using GKAP1 Polyclonal Antibody (Product # PA5-57160) shows high expression.
- Submitted by
- Invitrogen Antibodies (provider)
- Main image

- Experimental details
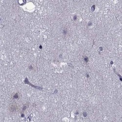
- Immunohistochemical staining of GKAP1 in human cerebral cortex using GKAP1 Polyclonal Antibody (Product # PA5-57160).
- Submitted by
- Invitrogen Antibodies (provider)
- Main image

- Experimental details
- Immunohistochemical staining of GKAP1 in human testis and pancreas tissues using GKAP1 Polyclonal Antibody (Product # PA5-57160). Corresponding GKAP1 RNA-seq data are presented for the same tissues.
- Submitted by
- Invitrogen Antibodies (provider)
- Main image

- Experimental details
- Immunohistochemical staining of GKAP1 in human kidney using GKAP1 Polyclonal Antibody (Product # PA5-57160).