Antibody data
- Antibody Data
- Antigen structure
- References [0]
- Comments [0]
- Validations
- Immunohistochemistry [1]
- Flow cytometry [2]
Submit
Validation data
Reference
Comment
Report error
- Product number
- PA5-26781 - Provider product page

- Provider
- Invitrogen Antibodies
- Product name
- Carbonic Anhydrase VI Polyclonal Antibody
- Antibody type
- Polyclonal
- Antigen
- Synthetic peptide
- Reactivity
- Human
- Host
- Rabbit
- Isotype
- IgG
- Vial size
- 400 μL
- Concentration
- 0.5 mg/mL
- Storage
- Store at 4°C short term. For long term storage, store at -20°C, avoiding freeze/thaw cycles.
No comments: Submit comment
Supportive validation
- Submitted by
- Invitrogen Antibodies (provider)
- Main image

- Experimental details
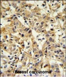
- Immunohistochemistry analysis of Carbonic Anhydrase VI in formalin fixed and paraffin embedded breast carcinoma. Samples were incubated with Carbonic Anhydrase VI polyclonal antibody (Product # PA5-26781) followed by peroxidase conjugation of the secondary antibody and DAB staining. This data demonstrates the use of this antibody for immunohistochemistry. Clinical relevance has not been evaluated.
Supportive validation
- Submitted by
- Invitrogen Antibodies (provider)
- Main image

- Experimental details
- Flow cytometry analysis of CEM cells using a CA6 polyclonal antibody (Product # PA5-26781) (right) compared to a negative control cell (left) at a dilution of 1:10-50, followed by a FITC-conjugated goat anti-rabbit antibody
- Submitted by
- Invitrogen Antibodies (provider)
- Main image

- Experimental details
- Flow cytometry of Carbonic Anhydrase VI in CEM cells (right histogram). Samples were incubated with Carbonic Anhydrase VI polyclonal antibody (Product # PA5-26781) followed by FITC-conjugated goat-anti-rabbit secondary antibody. Negative control cell (left histogram).