PA5-61996
antibody from Invitrogen Antibodies
Targeting: PCIF1
bA465L10.1, C20orf67, CAPAM, PPP1R121
Antibody data
- Antibody Data
- Antigen structure
- References [0]
- Comments [0]
- Validations
- Immunocytochemistry [3]
- Immunohistochemistry [3]
Submit
Validation data
Reference
Comment
Report error
- Product number
- PA5-61996 - Provider product page

- Provider
- Invitrogen Antibodies
- Product name
- PCIF1 Polyclonal Antibody
- Antibody type
- Polyclonal
- Antigen
- Recombinant protein fragment
- Description
- Immunogen sequence: SSLVETPPAE NKPRKRQLSE EQPSGNGVKK PKIEIPVTPT GQSVPSSPSI PGTPTLKMWG TSPEDKQQAA LLRPTEVYWD LDIQTNAVIK HR Highest antigen sequence identity to the following orthologs: Mouse - 92%, Rat - 91%.
- Reactivity
- Human
- Host
- Rabbit
- Isotype
- IgG
- Vial size
- 100 μL
- Concentration
- 0.3 mg/mL
- Storage
- Store at 4°C short term. For long term storage, store at -20°C, avoiding freeze/thaw cycles.
No comments: Submit comment
Supportive validation
- Submitted by
- Invitrogen Antibodies (provider)
- Main image

- Experimental details
- Immunofluorescent staining of PCIF1 in human cell line U-2 OS shows positivity in nucleus but excluded from the nucleoli. Samples were probed using a PCIF1 Polyclonal Antibody (Product # PA5-61996).
- Submitted by
- Invitrogen Antibodies (provider)
- Main image

- Experimental details
- Immunofluorescent staining of PCIF1 in human cell line U-2 OS shows positivity in nucleus but excluded from the nucleoli. Samples were probed using a PCIF1 Polyclonal Antibody (Product # PA5-61996).
- Submitted by
- Invitrogen Antibodies (provider)
- Main image

- Experimental details
- Immunofluorecent analysis of PCIF1 in human cell line U-2 OS using PCIF1 Polyclonal Antibody (Product # PA5-61996). Staining shows localization to nucleoplasm.
Supportive validation
- Submitted by
- Invitrogen Antibodies (provider)
- Main image

- Experimental details
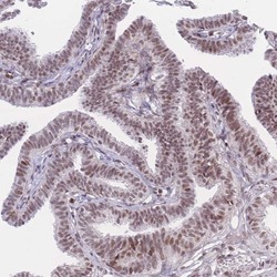
- Immunohistochemical staining of PCIF1 in human fallopian tube using PCIF1 Polyclonal Antibody (Product # PA5-61996) shows high expression.
- Submitted by
- Invitrogen Antibodies (provider)
- Main image

- Experimental details
- Immunohistochemical staining of PCIF1 in human fallopian tube and liver tissues using PCIF1 Polyclonal Antibody (Product # PA5-61996). Corresponding PCIF1 RNA-seq data are presented for the same tissues.
- Submitted by
- Invitrogen Antibodies (provider)
- Main image

- Experimental details
- Immunohistochemical staining of PCIF1 in human liver using PCIF1 Polyclonal Antibody (Product # PA5-61996) shows low expression as expected.