Antibody data
- Antibody Data
- Antigen structure
- References [0]
- Comments [0]
- Validations
- Western blot [1]
- Immunocytochemistry [2]
- Immunoprecipitation [1]
- Other assay [1]
Submit
Validation data
Reference
Comment
Report error
- Product number
- PA5-96573 - Provider product page

- Provider
- Invitrogen Antibodies
- Product name
- FKBP8 Polyclonal Antibody
- Antibody type
- Polyclonal
- Antigen
- Recombinant full-length protein
- Description
- Immunogen sequence: QPPAEEAEQP GALAREFLAA MEPEPAPAPA PEEWLDILGN GLLRKKTLVP GPPGSSRPVK GQVVTVHLQT SLENGTRVQE EPELVFTLGD CDVIQALDLS VPLMDVGETA MVTADSKYCY GPQGSRSPYI PPHAALCLEV TLKTAVDGPD LEMLTGQERV ALANRKRECG NAHYQRADFV LAANSYDLAI KAITSSAKVD MTFEEEAQLL Q; Positive Samples: Jurkat, THP-1, BT-474, HeLa, HL-60, Mouse liver, Mouse brain, Mouse eye, Rat brain; Cellular Location: Cytoplasmic side, Mitochondrion membrane, Single-pass membrane protein
- Reactivity
- Human, Mouse, Rat
- Host
- Rabbit
- Isotype
- IgG
- Vial size
- 100 μL
- Concentration
- 1.35 mg/mL
- Storage
- -20°C, Avoid Freeze/Thaw Cycles
No comments: Submit comment
Supportive validation
- Submitted by
- Invitrogen Antibodies (provider)
- Main image

- Experimental details
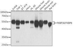
- Western blot analysis of FKBP8 in extracts of various cell lines. Samples were incubated with FKBP8 Polyclonal antibody (Product # PA5-96573) using a dilution of 1:1,000, followed by HRP Goat Anti-Rabbit IgG (H+L) at a dilution of 1:10,000. Lysates/proteins: 25 µg per lane. Blocking buffer: 3% nonfat dry milk in TBST. Detection: ECL Basic Kit. Exposure time: 5s.
Supportive validation
- Submitted by
- Invitrogen Antibodies (provider)
- Main image

- Experimental details
- Immunocytochemistry-Immunofluorescence analysis of FKBP8 was performed in A549 cells using FKBP8 Polyclonal Antibody (Product # PA5-96573).
- Submitted by
- Invitrogen Antibodies (provider)
- Main image

- Experimental details
- Immunofluorescence analysis of FKBP8 in A549 cells. Samples were incubated with FKBP8 Polyclonal antibody (Product # PA5-96573). Blue: DAPI for nuclear staining.
Supportive validation
- Submitted by
- Invitrogen Antibodies (provider)
- Main image

- Experimental details
- Immunoprecipitation of FKBP8 in 200 μg extracts of HeLa cells. Samples were precipitated with 1 μg FKBP8 Polyclonal antibody (Product # PA5-96573). Western blot was performed from the immunoprecipitate using FKBP8 Polyclonal antibody (Product # PA5-96573) at a dilution of 1:1,000.
Supportive validation
- Submitted by
- Invitrogen Antibodies (provider)
- Main image

- Experimental details
- Immunoprecipitation analysis of FKBP8 was performed in 200 µg extracts of HeLa cells using FKBP8 Polyclonal Antibody (Product # PA5-96573). Western blot was performed from the immunoprecipitate using FKBP8 Polyclonal Antibody at a dilution of 1:1000.