Antibody data
- Antibody Data
- Antigen structure
- References [0]
- Comments [0]
- Validations
- Immunocytochemistry [2]
- Immunohistochemistry [5]
Submit
Validation data
Reference
Comment
Report error
- Product number
- PA5-64010 - Provider product page

- Provider
- Invitrogen Antibodies
- Product name
- MAGEC2 Polyclonal Antibody
- Antibody type
- Polyclonal
- Antigen
- Recombinant protein fragment
- Description
- Immunogen sequence: PVPGVPFRNV DNDSPTSVEL EDWVDAQHPT DEEEEEASSA SSTLYLVFSP S Highest antigen sequence identity to the following orthologs: Mouse - 42%, Rat - 33%.
- Reactivity
- Human
- Host
- Rabbit
- Isotype
- IgG
- Vial size
- 100 μL
- Concentration
- 0.16 mg/mL
- Storage
- Store at 4°C short term. For long term storage, store at -20°C, avoiding freeze/thaw cycles.
No comments: Submit comment
Supportive validation
- Submitted by
- Invitrogen Antibodies (provider)
- Main image

- Experimental details
- Immunofluorescent staining of MAGEC2 in human cell line SK-MEL-30 using a MAGEC2 Polyclonal Antibody (Product # PA5-64010) shows localization to nucleus and nucleoli.
- Submitted by
- Invitrogen Antibodies (provider)
- Main image

- Experimental details
- Immunofluorescent staining of MAGEC2 in human cell line SK-MEL-30 using a MAGEC2 Polyclonal Antibody (Product # PA5-64010) shows localization to nucleus and nucleoli.
Supportive validation
- Submitted by
- Invitrogen Antibodies (provider)
- Main image

- Experimental details
- Immunohistochemical analysis of MAGEC2 in human colon using MAGEC2 Polyclonal Antibody (Product # PA5-64010) shows no positivity in glandular cells as expected.
- Submitted by
- Invitrogen Antibodies (provider)
- Main image

- Experimental details
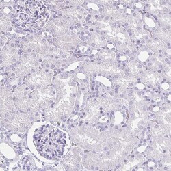
- Immunohistochemical analysis of MAGEC2 in human kidney using MAGEC2 Polyclonal Antibody (Product # PA5-64010) shows no positivity as expected.
- Submitted by
- Invitrogen Antibodies (provider)
- Main image

- Experimental details
- Immunohistochemical staining of MAGEC2 in human endometrium using MAGEC2 Polyclonal Antibody (Product # PA5-64010) shows low expression as expected.
- Submitted by
- Invitrogen Antibodies (provider)
- Main image

- Experimental details
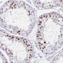
- Immunohistochemical analysis of MAGEC2 in human testis using MAGEC2 Polyclonal Antibody (Product # PA5-64010) shows strong nuclear positivity in a subset of cells in seminiferous ducts.
- Submitted by
- Invitrogen Antibodies (provider)
- Main image

- Experimental details
- Immunohistochemical staining of MAGEC2 in human testis and endometrium tissues using MAGEC2 Polyclonal Antibody (Product # PA5-64010). Corresponding MAGEC2 RNA-seq data are presented for the same tissues.