Antibody data
- Antibody Data
- Antigen structure
- References [0]
- Comments [0]
- Validations
- Immunocytochemistry [1]
- Immunohistochemistry [4]
Submit
Validation data
Reference
Comment
Report error
- Product number
- PA5-62281 - Provider product page
- Provider
- Invitrogen Antibodies
- Product name
- UCK1 Polyclonal Antibody
- Antibody type
- Polyclonal
- Antigen
- Recombinant protein fragment
- Description
- Immunogen sequence: IQDILNGDIC KWHRGGSNGR SYKRTFSEPG DHPGMLTSGK RSHLESSSRP Highest antigen sequence identity to the following orthologs: Mouse - 82%, Rat - 84%.
- Reactivity
- Human
- Host
- Rabbit
- Isotype
- IgG
- Vial size
- 100 µL
- Concentration
- 0.2 mg/mL
- Storage
- Store at 4°C short term. For long term storage, store at -20°C, avoiding freeze/thaw cycles.
No comments: Submit comment
Supportive validation
- Submitted by
- Invitrogen Antibodies (provider)
- Main image
- Experimental details
- Immunofluorecent analysis of UCK1 in human cell line U-2 OS using UCK1 Polyclonal Antibody (Product # PA5-62281). Staining shows localization to nucleoplasm.
Supportive validation
- Submitted by
- Invitrogen Antibodies (provider)
- Main image
- Experimental details
- Immunohistochemical analysis of UCK1 in human cerebral cortex using UCK1 Polyclonal Antibody (Product # PA5-62281) shows moderate nuclear and weak cytoplasmic positivity in neurons.
- Submitted by
- Invitrogen Antibodies (provider)
- Main image
- Experimental details
- Immunohistochemical analysis of UCK1 in human fallopian tube using UCK1 Polyclonal Antibody (Product # PA5-62281) shows moderate nuclear and weak cytoplasmic positivity in glandular cells.
- Submitted by
- Invitrogen Antibodies (provider)
- Main image
- Experimental details
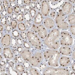
- Immunohistochemical analysis of UCK1 in human kidney using UCK1 Polyclonal Antibody (Product # PA5-62281) shows strong nuclear and moderate cytoplasmic positivity in cells in tubules.
- Submitted by
- Invitrogen Antibodies (provider)
- Main image
- Experimental details
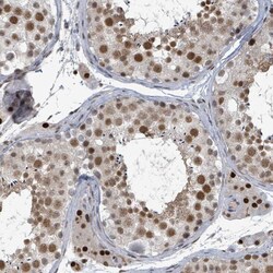
- Immunohistochemical analysis of UCK1 in human testis using UCK1 Polyclonal Antibody (Product # PA5-62281) shows moderate to strong nuclear positivity in cells in seminiferous ducts.