Antibody data
- Antibody Data
- Antigen structure
- References [0]
- Comments [0]
- Validations
- Western blot [2]
- Immunocytochemistry [1]
Submit
Validation data
Reference
Comment
Report error
- Product number
- MA5-25191 - Provider product page

- Provider
- Invitrogen Antibodies
- Product name
- UCK1 Monoclonal Antibody (OTI4C2)
- Antibody type
- Monoclonal
- Antigen
- Recombinant full-length protein
- Reactivity
- Human
- Host
- Mouse
- Isotype
- IgG
- Antibody clone number
- OTI4C2
- Vial size
- 100 μL
- Concentration
- 1 mg/mL
- Storage
- -20°C, Avoid Freeze/Thaw Cycles
No comments: Submit comment
Supportive validation
- Submitted by
- Invitrogen Antibodies (provider)
- Main image

- Experimental details
- Western blot analysis of UCK1 in HEK293T cells in untransfected (Left lane) and transfected (Right lane) samples using 5 µg per lane. The samples were separated by SDS-PAGE and probed with UCK1 (Product # MA5-25191) monoclonal antibody.
- Submitted by
- Invitrogen Antibodies (provider)
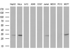
- Main image

- Experimental details
- Western blot analysis of UCK1 in HepG2, HeLa, SVT2, A549, COS7, Jurkat, MDCK, PC12 and MCF7 cells using 35 µg per lane. Samples were separated by SDS-PAGE and probed with UCK1 (Product # MA5-25191) monoclonal antibody.
Supportive validation
- Submitted by
- Invitrogen Antibodies (provider)
- Main image

- Experimental details
- Immunofluorescent analysis of UCK1 in COS7 cells. Cells were transfected with a plasmid overexpressing UCK1 and probed with a UCK1 monoclonal antibody (Product # MA5-25191).