Antibody data
- Antibody Data
- Antigen structure
- References [0]
- Comments [0]
- Validations
- Western blot [1]
- Immunohistochemistry [3]
Submit
Validation data
Reference
Comment
Report error
- Product number
- LS-C169258 - Provider product page

- Provider
- LSBio
- Product name
- GFAP Antibody (clone 6A6) LS-C169258
- Antibody type
- Monoclonal
- Description
- Ascites
- Reactivity
- Human, Rat
- Host
- Mouse
- Isotype
- IgG
- Antibody clone number
- 6A6
- Storage
- Short term: store at 4°C. Long term: store at -20°C.
No comments: Submit comment
Enhanced validation
- Submitted by
- LSBio (provider)
- Enhanced method
- Genetic validation
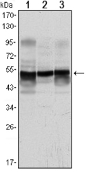
- Main image

- Experimental details
- Western blot using GFAP mouse monoclonal antibody against A431 (1), SK-N-SH (2) and PC12 (3) cell lysate.
Enhanced validation
- Submitted by
- LSBio (provider)
- Enhanced method
- Genetic validation
- Main image

- Experimental details
- IHC of paraffin-embedded brain tissues using GFAP mouse monoclonal antibody with DAB staining
- Submitted by
- LSBio (provider)
- Enhanced method
- Genetic validation
- Main image

- Experimental details
- IHC of paraffin-embedded brain tissues using GFAP mouse monoclonal antibody with DAB staining
- Submitted by
- LSBio (provider)
- Main image

- Experimental details
- IHC of paraffin-embedded brain tissues using GFAP mouse monoclonal antibody with DAB staining