Antibody data
- Antibody Data
- Antigen structure
- References [21]
- Comments [0]
- Validations
- Immunohistochemistry [1]
Submit
Validation data
Reference
Comment
Report error
- Product number
- sc-251 - Provider product page

- Provider
- Santa Cruz Biotechnology
- Proper citation
- Santa Cruz Biotechnology Cat#sc-251, RRID:AB_627476
- Product name
- Anti-E2F1
- Antibody type
- Monoclonal
- Antigen
- Recombinant full-length protein
- Reactivity
- Human
- Host
- Mouse
Submitted references A protocol to assess cell cycle and apoptosis in human and mouse pluripotent cells.
Senescence evasion by MCF-7 human breast tumor-initiating cells.
Alteration of microRNAs regulated by c-Myc in Burkitt lymphoma.
p27(Kip1) deficiency promotes prostate carcinogenesis but does not affect the efficacy of retinoids in suppressing the neoplastic process.
E2F-1 directly regulates thrombospondin 1 expression.
Potent inhibition of rhabdoid tumor cells by combination of flavopiridol and 4OH-tamoxifen.
Elevated PIN1 expression by C/EBPalpha-p30 blocks C/EBPalpha-induced granulocytic differentiation through c-Jun in AML.
A systems biology approach to transcription factor binding site prediction.
CDKN1C negatively regulates RNA polymerase II C-terminal domain phosphorylation in an E2F1-dependent manner.
Pregnane X receptor suppresses proliferation and tumourigenicity of colon cancer cells.
The transcriptional coregulator RIP140 represses E2F1 activity and discriminates breast cancer subtypes.
Hes-6, an inhibitor of Hes-1, is regulated by 17beta-estradiol and promotes breast cancer cell proliferation.
CK1alpha plays a central role in mediating MDM2 control of p53 and E2F-1 protein stability.
Bcl-2 blocks 2-methoxyestradiol induced leukemia cell apoptosis by a p27(Kip1)-dependent G1/S cell cycle arrest in conjunction with NF-kappaB activation.
Transcriptional downregulation of p27KIP1 through regulation of E2F function during LMP1-mediated transformation.
E2F1 induces pituitary tumor transforming gene (PTTG1) expression in human pituitary tumors.
DAPK2 is a novel E2F1/KLF6 target gene involved in their proapoptotic function
Deregulated E2f-2 underlies cell cycle and maturation defects in retinoblastoma null erythroblasts.
Relevance of cyclin D1b expression and CCND1 polymorphism in the pathogenesis of multiple myeloma and mantle cell lymphoma.
Reduction of total E2F/DP activity induces senescence-like cell cycle arrest in cancer cells lacking functional pRB and p53.
Combinatorial gene control involving E2F and E Box family members.
Edel MJ, Menchon C, Vaquero JM, Izpisua Belmonte JC
Cell communication and signaling : CCS 2011 Apr 11;9(1):8
Cell communication and signaling : CCS 2011 Apr 11;9(1):8
Senescence evasion by MCF-7 human breast tumor-initiating cells.
Karimi-Busheri F, Rasouli-Nia A, Mackey JR, Weinfeld M
Breast cancer research : BCR 2010;12(3):R31
Breast cancer research : BCR 2010;12(3):R31
Alteration of microRNAs regulated by c-Myc in Burkitt lymphoma.
Onnis A, De Falco G, Antonicelli G, Onorati M, Bellan C, Sherman O, Sayed S, Leoncini L
PloS one 2010 Sep 24;5(9)
PloS one 2010 Sep 24;5(9)
p27(Kip1) deficiency promotes prostate carcinogenesis but does not affect the efficacy of retinoids in suppressing the neoplastic process.
Taylor W, Mathias A, Ali A, Ke H, Stoynev N, Shilkaitis A, Green A, Kiyokawa H, Christov K
BMC cancer 2010 Oct 8;10:541
BMC cancer 2010 Oct 8;10:541
E2F-1 directly regulates thrombospondin 1 expression.
Ji W, Zhang W, Xiao W
PloS one 2010 Oct 15;5(10):e13442
PloS one 2010 Oct 15;5(10):e13442
Potent inhibition of rhabdoid tumor cells by combination of flavopiridol and 4OH-tamoxifen.
Cimica V, Smith ME, Zhang Z, Mathur D, Mani S, Kalpana GV
BMC cancer 2010 Nov 19;10:634
BMC cancer 2010 Nov 19;10:634
Elevated PIN1 expression by C/EBPalpha-p30 blocks C/EBPalpha-induced granulocytic differentiation through c-Jun in AML.
Pulikkan JA, Dengler V, Peer Zada AA, Kawasaki A, Geletu M, Pasalic Z, Bohlander SK, Ryo A, Tenen DG, Behre G
Leukemia 2010 May;24(5):914-23
Leukemia 2010 May;24(5):914-23
A systems biology approach to transcription factor binding site prediction.
Zhou X, Sumazin P, Rajbhandari P, Califano A
PloS one 2010 Mar 26;5(3):e9878
PloS one 2010 Mar 26;5(3):e9878
CDKN1C negatively regulates RNA polymerase II C-terminal domain phosphorylation in an E2F1-dependent manner.
Ma Y, Chen L, Wright GM, Pillai SR, Chellappan SP, Cress WD
The Journal of biological chemistry 2010 Mar 26;285(13):9813-9822
The Journal of biological chemistry 2010 Mar 26;285(13):9813-9822
Pregnane X receptor suppresses proliferation and tumourigenicity of colon cancer cells.
Ouyang N, Ke S, Eagleton N, Xie Y, Chen G, Laffins B, Yao H, Zhou B, Tian Y
British journal of cancer 2010 Jun 8;102(12):1753-61
British journal of cancer 2010 Jun 8;102(12):1753-61
The transcriptional coregulator RIP140 represses E2F1 activity and discriminates breast cancer subtypes.
Docquier A, Harmand PO, Fritsch S, Chanrion M, Darbon JM, Cavaillès V
Clinical cancer research : an official journal of the American Association for Cancer Research 2010 Jun 1;16(11):2959-70
Clinical cancer research : an official journal of the American Association for Cancer Research 2010 Jun 1;16(11):2959-70
Hes-6, an inhibitor of Hes-1, is regulated by 17beta-estradiol and promotes breast cancer cell proliferation.
Hartman J, Lam EW, Gustafsson JA, Ström A
Breast cancer research : BCR 2009;11(6):R79
Breast cancer research : BCR 2009;11(6):R79
CK1alpha plays a central role in mediating MDM2 control of p53 and E2F-1 protein stability.
Huart AS, MacLaine NJ, Meek DW, Hupp TR
The Journal of biological chemistry 2009 Nov 20;284(47):32384-94
The Journal of biological chemistry 2009 Nov 20;284(47):32384-94
Bcl-2 blocks 2-methoxyestradiol induced leukemia cell apoptosis by a p27(Kip1)-dependent G1/S cell cycle arrest in conjunction with NF-kappaB activation.
Batsi C, Markopoulou S, Kontargiris E, Charalambous C, Thomas C, Christoforidis S, Kanavaros P, Constantinou AI, Marcu KB, Kolettas E
Biochemical pharmacology 2009 Jul 1;78(1):33-44
Biochemical pharmacology 2009 Jul 1;78(1):33-44
Transcriptional downregulation of p27KIP1 through regulation of E2F function during LMP1-mediated transformation.
Everly DN Jr, Mainou BA, Raab-Traub N
Journal of virology 2009 Dec;83(24):12671-9
Journal of virology 2009 Dec;83(24):12671-9
E2F1 induces pituitary tumor transforming gene (PTTG1) expression in human pituitary tumors.
Zhou C, Wawrowsky K, Bannykh S, Gutman S, Melmed S
Molecular endocrinology (Baltimore, Md.) 2009 Dec;23(12):2000-12
Molecular endocrinology (Baltimore, Md.) 2009 Dec;23(12):2000-12
DAPK2 is a novel E2F1/KLF6 target gene involved in their proapoptotic function
A Britschgi, E Trinh, M Rizzi, M Jenal, A Ress, A Tobler, M F Fey, K Helin, M P Tschan
Oncogene 2008 Jun;27(43):5706-5716
Oncogene 2008 Jun;27(43):5706-5716
Deregulated E2f-2 underlies cell cycle and maturation defects in retinoblastoma null erythroblasts.
Dirlam A, Spike BT, Macleod KF
Molecular and cellular biology 2007 Dec;27(24):8713-28
Molecular and cellular biology 2007 Dec;27(24):8713-28
Relevance of cyclin D1b expression and CCND1 polymorphism in the pathogenesis of multiple myeloma and mantle cell lymphoma.
Krieger S, Gauduchon J, Roussel M, Troussard X, Sola B
BMC cancer 2006 Oct 6;6:238
BMC cancer 2006 Oct 6;6:238
Reduction of total E2F/DP activity induces senescence-like cell cycle arrest in cancer cells lacking functional pRB and p53.
Maehara K, Yamakoshi K, Ohtani N, Kubo Y, Takahashi A, Arase S, Jones N, Hara E
The Journal of cell biology 2005 Feb 14;168(4):553-60
The Journal of cell biology 2005 Feb 14;168(4):553-60
Combinatorial gene control involving E2F and E Box family members.
Giangrande PH, Zhu W, Rempel RE, Laakso N, Nevins JR
The EMBO journal 2004 Mar 24;23(6):1336-47
The EMBO journal 2004 Mar 24;23(6):1336-47
No comments: Submit comment
Supportive validation
- Submitted by
- per
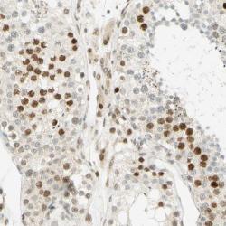
- Main image

- Experimental details
- Immunohistochemical staining of human testis shows strong nuclear positivity in cells of seminiferus ducts.
- Validation comment
- Staining pattern consistent with experimental and/or bioinformatic data.