Antibody data
- Antibody Data
- Antigen structure
- References [0]
- Comments [0]
- Validations
- ELISA [1]
- Immunohistochemistry [1]
- Flow cytometry [2]
- Other assay [1]
Submit
Validation data
Reference
Comment
Report error
- Product number
- MA5-31627 - Provider product page

- Provider
- Invitrogen Antibodies
- Product name
- RIAM Monoclonal Antibody (7E7D12)
- Antibody type
- Monoclonal
- Antigen
- Purifed from natural sources
- Description
- MA5-31627 has been tested in indirect ELISA.
- Reactivity
- Human
- Host
- Mouse
- Isotype
- IgG
- Antibody clone number
- 7E7D12
- Vial size
- 100 μL
- Concentration
- 1 mg/mL
- Storage
- Store at 4°C short term. For long term storage, store at -20°C, avoiding freeze/thaw cycles.
No comments: Submit comment
Supportive validation
- Submitted by
- Invitrogen Antibodies (provider)
- Main image

- Experimental details
- ELISA analysis of RIAM in Control Antigen (black line, 100 ng); Antigen (purple line, 10 ng); Antigen (blue line, 50 ng); Antigen (red line, 100 ng). Samples were incubated with RIAM monoclonal antibody (Product # MA5-31627) using a dilution of 1:10,000.
Supportive validation
- Submitted by
- Invitrogen Antibodies (provider)
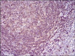
- Main image

- Experimental details
- Immunohistochemistry analysis of RIAM in paraffin-embedded lymph tissue. Sample was incubated with RIAM monoclonal antibody (Product # MA5-31627) using a dilution of 1:200-1:1000 followed by DAB staining.
Supportive validation
- Submitted by
- Invitrogen Antibodies (provider)
- Main image

- Experimental details
- Flow cytometry of RIAM in HeLa cells (green). Sample was incubated with RIAM monoclonal antibody (Product # MA5-31627) using a dilution of 1:200-1:400 followed by negative control (red).
- Submitted by
- Invitrogen Antibodies (provider)
- Main image

- Experimental details
- Flow cytometry of RIAM in HeLa cells (green). Sample was incubated with RIAM monoclonal antibody (Product # MA5-31627) using a dilution of 1:200-1:400 followed by negative control (red).
Supportive validation
- Submitted by
- Invitrogen Antibodies (provider)
- Main image

- Experimental details
- ELISA analysis of RIAM in Control Antigen (black line, 100 ng); Antigen (purple line, 10 ng); Antigen (blue line, 50 ng); Antigen (red line, 100 ng). Samples were incubated with RIAM monoclonal antibody (Product # MA5-31627) using a dilution of 1:10,000.