Antibody data
- Antibody Data
- Antigen structure
- References [0]
- Comments [0]
- Validations
- Western blot [1]
- Immunohistochemistry [5]
Submit
Validation data
Reference
Comment
Report error
- Product number
- LS-C282 - Provider product page

- Provider
- LSBio
- Proper citation
- LifeSpan Cat#LS-C282, RRID:AB_2093049
- Product name
- DFFB Antibody LS-C282
- Antibody type
- Polyclonal
- Description
- Peptide Column Affinity Chromatography
- Reactivity
- Mouse, Rat
- Host
- Rabbit
- Isotype
- IgG
- Storage
- Store at 4°C for up 3 months. Store at -20°C for up to 1 year. Avoid freeze/thaw cycles.
No comments: Submit comment
Enhanced validation
- Submitted by
- LSBio (provider)
- Enhanced method
- Genetic validation
- Main image

- Experimental details
- Western blot analysis of CAD in mouse kidney tissue lysate with CAD antibody at 2 µg/mL.
Enhanced validation
- Submitted by
- LSBio (provider)
- Enhanced method
- Genetic validation
- Main image

- Experimental details
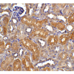
- Immunohistochemistry of CAD in mouse kidney tissue with CAD antibody at 5 µg/ml.
- Submitted by
- LSBio (provider)
- Enhanced method
- Genetic validation
- Main image

- Experimental details
- Immunohistochemistry of CAD in mouse kidney tissue with CAD antibody at 2 µg/ml.
- Submitted by
- LSBio (provider)
- Enhanced method
- Genetic validation
- Main image

- Experimental details
- Immunohistochemistry of CAD in mouse kidney tissue with CAD antibody at 5 µg/ml.
- Submitted by
- LSBio (provider)
- Main image

- Experimental details
- Immunohistochemistry of CAD in mouse kidney tissue with CAD antibody at 2 µg/ml.
- Submitted by
- LSBio (provider)
- Main image

- Experimental details
- Immunohistochemistry of CAD in mouse kidney tissue with CAD antibody at 5 µg/ml.