Antibody data
- Antibody Data
- Antigen structure
- References [0]
- Comments [0]
- Validations
- Immunohistochemistry [1]
Submit
Validation data
Reference
Comment
Report error
- Product number
- PA5-44578 - Provider product page

- Provider
- Invitrogen Antibodies
- Product name
- RAB1A Polyclonal Antibody
- Antibody type
- Polyclonal
- Antigen
- Synthetic peptide
- Description
- Peptide sequence: AKNATNVEQS FMTMAAEIKK RMGPGATAGG AEKSNVKIQS TPVKQSGGGC Sequence homology: Cow: 100%; Dog: 100%; Goat: 100%; Guinea Pig: 100%; Horse: 100%; Human: 100%; Mouse: 100%; Rabbit: 100%; Rat: 100%; Zebrafish: 85%
- Reactivity
- Human, Mouse
- Host
- Rabbit
- Isotype
- IgG
- Vial size
- 100 μL
- Concentration
- 0.5 mg/mL
- Storage
- -20°C, Avoid Freeze/Thaw Cycles
No comments: Submit comment
Supportive validation
- Submitted by
- Invitrogen Antibodies (provider)
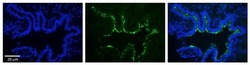
- Main image

- Experimental details
- Immunohistochemistry (paraffin-embedded) analysis of human bronchial epithelial tissue using an anti-RAB1A polyclonal antibody (Product # PA5-44578).