MA5-35978
antibody from Invitrogen Antibodies
Targeting: MAPK14
CSBP1, CSBP2, CSPB1, Mxi2, p38, PRKM14, PRKM15
Antibody data
- Antibody Data
- Antigen structure
- References [0]
- Comments [0]
- Validations
- Western blot [1]
- Immunocytochemistry [1]
- Immunohistochemistry [3]
Submit
Validation data
Reference
Comment
Report error
- Product number
- MA5-35978 - Provider product page

- Provider
- Invitrogen Antibodies
- Product name
- p38 MAPK alpha Monoclonal Antibody (07)
- Antibody type
- Monoclonal
- Antigen
- Recombinant full-length protein
- Description
- This product can be used in direct ELISA.
- Reactivity
- Human
- Host
- Mouse
- Isotype
- IgG
- Antibody clone number
- 07
- Vial size
- 100 μL
- Concentration
- 1 mg/mL
- Storage
- Store at 4°C short term. For long term storage, store at -20°C, avoiding freeze/thaw cycles.
No comments: Submit comment
Supportive validation
- Submitted by
- Invitrogen Antibodies (provider)
- Main image

- Experimental details
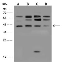
- Western Blot analysis of p38 MAPK alpha using p38 MAPK alpha Monoclonal Antibody (Product # MA5-35978) at a dilution of 1:500. Lane A: Jurkat whole cell lysate, Lane B: A431 whole cell lysate, Lane C: MCF7 whole cell lysate, Lane D: HepG2 whole cell lysate, (Lysates/proteins at 30 µg per lane). The secondary antibody used was a Goat Anti-Mouse IgG (H+L)/HRP at 1:10,000 dilution. Developed using the ECL technique and performed under reducing conditions. Predicted band size: 41 kDa. Observed band size: 41 kDa (We are unsure as to the identity of these extra bands).
Supportive validation
- Submitted by
- Invitrogen Antibodies (provider)
- Main image

- Experimental details
- Immunocytochemistry-Immunofluorescence analysis of p38 MAPK alpha in Hela cells. Cells were fixed with 4% PFA, permeabilized with 0.1% Triton X-100 in PBS, blocked with 10% serum, and incubated with p38 MAPK alpha Monoclonal Antibody (Product # MA5-35978) (1:60) at 4°C overnight. Then cells were stained with the Alexa Fluor 488-conjugated Goat Anti-mouse IgG secondary antibody (green) and counterstained with DAPI (blue). Positive staining was localized to Nucleus.
Supportive validation
- Submitted by
- Invitrogen Antibodies (provider)
- Main image

- Experimental details
- Immunohistochemistry analysis of p38 MAPK alpha in formalin-fixed paraffin embedded sections human brain tissue sections using p38 MAPK alpha Monoclonal Antibody (Product # MA5-35978) at a dilution of 1:100.
- Submitted by
- Invitrogen Antibodies (provider)
- Main image

- Experimental details
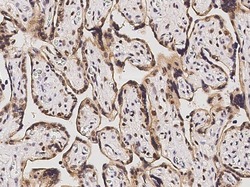
- Immunohistochemistry analysis of p38 MAPK alpha in formalin-fixed paraffin embedded sections human placenta tissue sections using p38 MAPK alpha Monoclonal Antibody (Product # MA5-35978) at a dilution of 1:100.
- Submitted by
- Invitrogen Antibodies (provider)
- Main image

- Experimental details
- Immunohistochemistry analysis of p38 MAPK alpha in formalin-fixed paraffin embedded sections human stomach tissue sections using p38 MAPK alpha Monoclonal Antibody (Product # MA5-35978) at a dilution of 1:100.