Antibody data
- Antibody Data
- Antigen structure
- References [0]
- Comments [0]
- Validations
- Immunocytochemistry [2]
- Immunohistochemistry [1]
Submit
Validation data
Reference
Comment
Report error
- Product number
- PA5-20049 - Provider product page

- Provider
- Invitrogen Antibodies
- Product name
- TRIM5 alpha Polyclonal Antibody
- Antibody type
- Polyclonal
- Antigen
- Synthetic peptide
- Description
- In Western blot applications, this antibody detects a band at ~55kDa. A suggested positive control is human stomach tissue lysate. PA5-20049 can be used with blocking peptide PEP-0168.
- Reactivity
- Human
- Host
- Rabbit
- Isotype
- IgG
- Vial size
- 100 μg
- Concentration
- 1 mg/mL
- Storage
- Maintain refrigerated at 2-8°C for up to 3 months. For long term storage store at -20°C
No comments: Submit comment
Supportive validation
- Submitted by
- Invitrogen Antibodies (provider)
- Main image

- Experimental details
- Immunofluorescence of TRIM5 alpha in Human Stomach cells with TRIM5 alpha Polyclonal Antibody (Product # PA5-20049) at 10 µg/mL.
- Submitted by
- Invitrogen Antibodies (provider)
- Main image

- Experimental details
- Immunofluorescence of TRIM5 alpha in Human Stomach cells with TRIM5 alpha Polyclonal Antibody (Product # PA5-20049) at 10 µg/mL.
Supportive validation
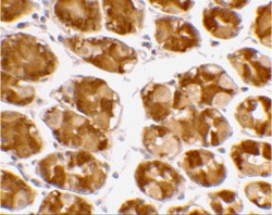
- Submitted by
- Invitrogen Antibodies (provider)
- Main image

- Experimental details
- Immunohistochemical staining of human stomach using TRIM5 alpha Polyclonal Antibody (Product # PA5-20049) at 2 µg/mL.