Antibody data
- Antibody Data
- Antigen structure
- References [1]
- Comments [0]
- Validations
- Immunohistochemistry [2]
Submit
Validation data
Reference
Comment
Report error
- Product number
- PA5-38015 - Provider product page

- Provider
- Invitrogen Antibodies
- Product name
- AKAP4 Polyclonal Antibody
- Antibody type
- Polyclonal
- Antigen
- Synthetic peptide
- Description
- A recommended positive control is human testis tissue lysate. At least three isoforms are known to exist; this antibody will detect the two longest isoforms.
- Reactivity
- Human
- Host
- Rabbit
- Isotype
- IgG
- Vial size
- 100 μg
- Concentration
- 1 mg/mL
- Storage
- Maintain refrigerated at 2-8°C for up to 3 months. For long term storage store at -20°C
Submitted references PRSS50 is a testis protease responsible for proper sperm tail formation and function.
Scovell JM, Bournat JC, Szafran AT, Solis M, Moore J, Rivera A, Chen CH, Zhang J, Wilken N, Seth A, Jorgez CJ
Development (Cambridge, England) 2021 Apr 15;148(8)
Development (Cambridge, England) 2021 Apr 15;148(8)
No comments: Submit comment
Supportive validation
- Submitted by
- Invitrogen Antibodies (provider)
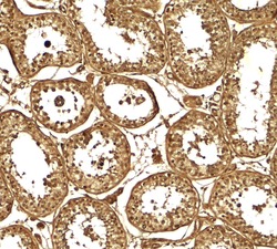
- Main image

- Experimental details
- Immunohistochemistry of AKAP4 in human testis tissue with AKAP4 Polyclonal Antibody (Product # PA5-38015) at 5 µg/mL.
- Submitted by
- Invitrogen Antibodies (provider)
- Main image

- Experimental details
- Immunofluorescence of AKAP4 in human testis tissue with AKAP4 Polyclonal Antibody (Product # PA5-38015) at 20 µg/mL.