Antibody data
- Antibody Data
- Antigen structure
- References [0]
- Comments [0]
- Validations
- Immunocytochemistry [2]
- Immunohistochemistry [5]
Submit
Validation data
Reference
Comment
Report error
- Product number
- PA5-57766 - Provider product page

- Provider
- Invitrogen Antibodies
- Product name
- SUCLG1 Polyclonal Antibody
- Antibody type
- Polyclonal
- Antigen
- Recombinant protein fragment
- Description
- Immunogen sequence: LPQNGIRHCS YTASRQHLYV DKNTKIICQG FTGKQGTFHS QQALEYGTKL VGGTTPGKGG QTHLGLPVFN TVKEAKEQTG A Highest antigen sequence identity to the following orthologs: Mouse - 91%, Rat - 88%.
- Reactivity
- Human, Mouse, Rat
- Host
- Rabbit
- Isotype
- IgG
- Vial size
- 100 μL
- Concentration
- 0.2 mg/mL
- Storage
- Store at 4°C short term. For long term storage, store at -20°C, avoiding freeze/thaw cycles.
No comments: Submit comment
Supportive validation
- Submitted by
- Invitrogen Antibodies (provider)
- Main image

- Experimental details
- Immunofluorescent staining of SUCLG1 in human cell line A-431 shows positivity in plasma membrane & mitochondria. Samples were probed using a SUCLG1 Polyclonal Antibody (Product # PA5-57766).
- Submitted by
- Invitrogen Antibodies (provider)
- Main image

- Experimental details
- Immunofluorecent analysis of SUCLG1 in human cell line A-431 using SUCLG1 Polyclonal Antibody (Product # PA5-57766). Staining shows localization to plasma membrane and mitochondria.
Supportive validation
- Submitted by
- Invitrogen Antibodies (provider)
- Main image

- Experimental details
- Immunohistochemical staining of SUCLG1 in human kidney using SUCLG1 Polyclonal Antibody (Product # PA5-57766) shows high expression.
- Submitted by
- Invitrogen Antibodies (provider)
- Main image

- Experimental details
- Immunohistochemical staining of SUCLG1 in human pancreas using SUCLG1 Polyclonal Antibody (Product # PA5-57766) shows low expression as expected.
- Submitted by
- Invitrogen Antibodies (provider)
- Main image

- Experimental details
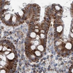
- Immunohistochemical staining of SUCLG1 in human colon using SUCLG1 Polyclonal Antibody (Product # PA5-57766).
- Submitted by
- Invitrogen Antibodies (provider)
- Main image

- Experimental details
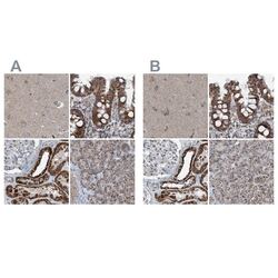
- Immunohistochemical staining of SUCLG1 in human cerebral cortex, colon, kidney and pancreas using SUCLG1 Polyclonal Antibody (Product # PA5-57766) (A) shows similar protein distribution across tissues to an independent SUCLG1 Polyclonal Antibody (B).
- Submitted by
- Invitrogen Antibodies (provider)
- Main image

- Experimental details
- Immunohistochemical staining of SUCLG1 in human kidney and pancreas tissues using SUCLG1 Polyclonal Antibody (Product # PA5-57766). Corresponding SUCLG1 RNA-seq data are presented for the same tissues.