Antibody data
- Antibody Data
- Antigen structure
- References [0]
- Comments [0]
- Validations
- Western blot [1]
Submit
Validation data
Reference
Comment
Report error
- Product number
- PA5-121092 - Provider product page

- Provider
- Invitrogen Antibodies
- Product name
- RICH2 Polyclonal Antibody
- Antibody type
- Polyclonal
- Antigen
- Recombinant full-length protein
- Description
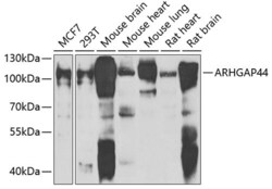
- Positive test controls include: MCF7, 293T, Mouse brain, Mouse heart, Mouse lung, Rat heart, Rat brain. The target is usually found in the following locations: Cell junction, Cell projection, Recycling endosome, dendritic spine, synapse. Immunogen sequence: MADQSAGQPS PVSLSPTPPS TPSPYGLSYP QGYSLASGQL SPAAAPPLAS PSVFTSTLSK SRPTPKPRQR PTLPPPQPPT VNLSASSPQS TEAPMLDGMS PGESMST
- Reactivity
- Human, Mouse, Rat
- Host
- Rabbit
- Isotype
- IgG
- Vial size
- 100 μL
- Concentration
- 1.75 mg/mL
- Storage
- -20°C, Avoid Freeze/Thaw Cycles
No comments: Submit comment
Supportive validation
- Submitted by
- Invitrogen Antibodies (provider)
- Main image

- Experimental details
- Western blot analysis of RICH2 in extracts of various cell lines. Samples were incubated with RICH2 Polyclonal antibody (Product # PA5-121092) using a dilution of 1:1,000, followed by HRP Goat Anti-Rabbit IgG (H+L) at a dilution of 1:10,000. Lysates/proteins: 25 µg per lane. Blocking buffer: 3% nonfat dry milk in TBST. Detection: ECL Enhanced Kit. Exposure time: 90s.