Antibody data
- Antibody Data
- Antigen structure
- References [0]
- Comments [0]
- Validations
- Immunohistochemistry [1]
Submit
Validation data
Reference
Comment
Report error
- Product number
- PA5-21673 - Provider product page 
- Provider
- Invitrogen Antibodies
- Product name
- GLRA2 Polyclonal Antibody
- Antibody type
- Polyclonal
- Antigen
- Recombinant full-length protein
- Description
- Recommended positive controls: 293T, A431, HepG2, mouse brain. Predicted reactivity: Mouse (99%), Rat (99%), Zebrafish (95%), Rhesus Monkey (100%), Bovine (98%). Store product as a concentrated solution. Centrifuge briefly prior to opening the vial.
- Reactivity
- Human, Mouse
- Host
- Rabbit
- Isotype
- IgG
- Vial size
- 100 μL
- Concentration
- 1 mg/mL
- Storage
- Store at 4°C short term. For long term storage, store at -20°C, avoiding freeze/thaw cycles.
				No comments: Submit comment	
	
			
							
					Supportive validation
					
									
				
		- Submitted by
- Invitrogen Antibodies (provider)
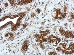
- Main image
 
- Experimental details
- Immunohistochemical analysis of paraffin-embedded human breast cancer, using Glycine Receptor alpha 2 (Product # PA5-21673) antibody at 1:750 dilution. Antigen Retrieval: EDTA based buffer, pH 8.0, 15 min.