Antibody data
- Antibody Data
- Antigen structure
- References [1]
- Comments [0]
- Validations
- Immunohistochemistry [1]
- Other assay [1]
Submit
Validation data
Reference
Comment
Report error
- Product number
- PA5-24082 - Provider product page

- Provider
- Invitrogen Antibodies
- Product name
- DEGS2 Polyclonal Antibody
- Antibody type
- Polyclonal
- Antigen
- Synthetic peptide
- Description
- This antibody is predicted to react with bovine and mouse based on sequence homology.
- Reactivity
- Human
- Host
- Rabbit
- Isotype
- IgG
- Vial size
- 400 μL
- Concentration
- 0.48 mg/mL
- Storage
- Store at 4°C short term. For long term storage, store at -20°C, avoiding freeze/thaw cycles.
Submitted references Cell metabolism regulates integrin mechanosensing via an SLC3A2-dependent sphingolipid biosynthesis pathway.
Boulter E, Estrach S, Tissot FS, Hennrich ML, Tosello L, Cailleteau L, de la Ballina LR, Pisano S, Gavin AC, Féral CC
Nature communications 2018 Nov 19;9(1):4862
Nature communications 2018 Nov 19;9(1):4862
No comments: Submit comment
Supportive validation
- Submitted by
- Invitrogen Antibodies (provider)
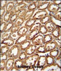
- Main image

- Experimental details
- Immunohistochemistry analysis of DEGS2 in formalin fixed and paraffin embedded human kidney tissue. Samples were incubated with DEGS2 polyclonal antibody (Product # PA5-24082) followed by peroxidase conjugation of the secondary antibody and DAB staining. This data demonstrates the use of this antibody for immunohistochemistry. Clinical relevance has not been evaluated.
Supportive validation
- Submitted by
- Invitrogen Antibodies (provider)
- Main image

- Experimental details
- Fig. 5 CD98hc determines the level of DES2 in fibroblasts. a - d Loss of CD98hc or expression of C330S mutant reduce the expression of DES2 and induces DES1. One experiment representative of at least n = 3 experiments. e - h Levels of DES1 and DES2 mRNA as measured by RT-qPCR on total mRNA from CD98hc- cells or C330S reconstituted cells. Means are plotted with s.e.m. as error bars from, respectively, n = 6 or n = 3 experiments. Differences were not statistically different in a Student's t test. i Schematic representation of the de novo sphingolipid biosynthesis pathway presenting variations of metabolites. Numbers refer to metabolites depicted and numbered in the volcano plot of Fig. 4d . Metabolites and p values are reported in Supplementary Data 1 . P values were calculated using a Student's t test. DES1/2 variations were extracted from results presented in Fig. 5a-d and Supplementary Figure 5A-D . j , k Hsp90 inhibition in control cells reduces the level of DES2 expressed in cells. Right panel, means are plotted with s.e.m. as error bars from n = 3 experiments, ** P < 0.01 in a Student's t test. l Grp78 and Grp94 co-immunoprecipitate with DES2 upon loss of CD98hc or geldanamycin treatment. Control, CD98hc-, or C330S-expressing cells were treated with geldanamycin for 16 h prior to cell lysis and DES2 immunoprecipitation. Precipitates were loaded on SDS-PAGE and analyzed by Western blot. One experiment representative of n = 2