Antibody data
- Antibody Data
- Antigen structure
- References [0]
- Comments [0]
- Validations
- Immunohistochemistry [4]
Submit
Validation data
Reference
Comment
Report error
- Product number
- PA5-63860 - Provider product page

- Provider
- Invitrogen Antibodies
- Product name
- COL28A1 Polyclonal Antibody
- Antibody type
- Polyclonal
- Antigen
- Recombinant full-length protein
- Description
- Immunogen sequence: SESLSVTRDQ DEDDKAPEPT WADDLPATTS SEATTTPRPL LSTPVDGAED PRCLEALKPG NCGEYVVRWY YDKQVNSCAR FWFSGCNGSG NRFNSEKECQ ET Highest antigen sequence identity to the following orthologs: Mouse - 57%, Rat - 58%.
- Reactivity
- Human
- Host
- Rabbit
- Isotype
- IgG
- Vial size
- 100 μL
- Concentration
- 0.4 mg/mL
- Storage
- Store at 4°C short term. For long term storage, store at -20°C, avoiding freeze/thaw cycles.
No comments: Submit comment
Supportive validation
- Submitted by
- Invitrogen Antibodies (provider)
- Main image

- Experimental details
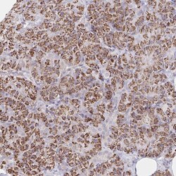
- Immunohistochemical analysis of COL28A1 in human pancreas using COL28A1 Polyclonal Antibody (Product # PA5-63860) shows strong cytoplasmic positivity in exocrine glandular cells.
- Submitted by
- Invitrogen Antibodies (provider)
- Main image

- Experimental details
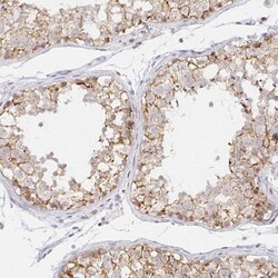
- Immunohistochemical analysis of COL28A1 in human testis using COL28A1 Polyclonal Antibody (Product # PA5-63860) shows strong cytoplasmic positivity in cells in seminiferous ducts.
- Submitted by
- Invitrogen Antibodies (provider)
- Main image

- Experimental details
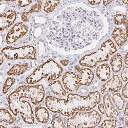
- Immunohistochemical analysis of COL28A1 in human kidney using COL28A1 Polyclonal Antibody (Product # PA5-63860) shows strong cytoplasmic positivity in cells in tubules.
- Submitted by
- Invitrogen Antibodies (provider)
- Main image

- Experimental details
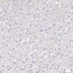
- Immunohistochemical analysis of COL28A1 in human liver using COL28A1 Polyclonal Antibody (Product # PA5-63860) shows no positivity in hepatocytes as expected.