R32596
antibody from NSJ Bioreagents
Targeting: IKBKG
FIP-3, FIP3, Fip3p, IKK-gamma, IP1, IP2, NEMO, ZC2HC9
Antibody data
- Antibody Data
- Antigen structure
- References [0]
- Comments [0]
- Validations
- Western blot [2]
- Immunocytochemistry [1]
Submit
Validation data
Reference
Comment
Report error
- Product number
- R32596 - Provider product page

- Provider
- NSJ Bioreagents
- Product name
- IKKG Antibody / NEMO
- Antibody type
- Polyclonal
- Description
- This highly specific IKKG antibody is suitable for use in Western blot/Immunofluorescence applications with human, mouse and rat samples.
- Reactivity
- Human, Mouse, Rat
- Host
- Rabbit
- Conjugate
- Unconjugated
- Vial size
- 100 ug
- Concentration
- 0.5mg/ml if reconstituted with 0.2ml sterile DI water
- Storage
- After reconstitution, the IKKG antibody can be stored for up to one month at 4oC. For long-term, aliquot and store at -20oC. Avoid repeated freezing and thawing.
No comments: Submit comment
Supportive validation
- Submitted by
- NSJ Bioreagents (provider)
- Main image

- Experimental details
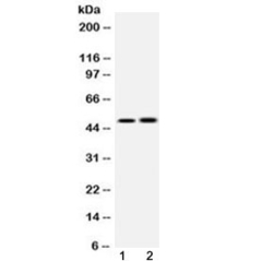
- Western blot testing of 1) rat heart and 2) human HepG2 lysate with IKKG antibody at 0.5ug/ml. Expected molecular weight: 37-60 kDa.
- Submitted by
- NSJ Bioreagents (provider)
- Main image

- Experimental details
- Western blot testing of 1) rat heart and 2) human HepG2 lysate with IKKG antibody at 0.5ug/ml. Expected molecular weight: 37-60 kDa.
Supportive validation
- Submitted by
- NSJ Bioreagents (provider)
- Main image

- Experimental details
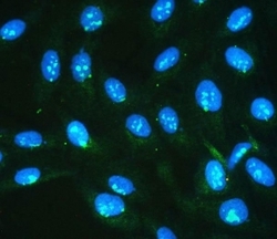
- Immunofluorescent staining of FFPE human U-2 OS cells with IKKG antibody (green) and DAPI nuclear stain (blue). HIER: steam section in pH6 citrate buffer for 20 min.