Antibody data
- Antibody Data
- Antigen structure
- References [0]
- Comments [0]
- Validations
- Immunohistochemistry [3]
Submit
Validation data
Reference
Comment
Report error
- Product number
- PA5-64245 - Provider product page

- Provider
- Invitrogen Antibodies
- Product name
- TMEM88B Polyclonal Antibody
- Antibody type
- Polyclonal
- Antigen
- Recombinant protein fragment
- Description
- Immunogen sequence: FLCHSRVHPA PGPRCRALFS DRG Highest antigen sequence identity to the following orthologs: Mouse - 96%, Rat - 96%.
- Reactivity
- Human
- Host
- Rabbit
- Isotype
- IgG
- Vial size
- 100 μL
- Concentration
- 0.1 mg/mL
- Storage
- Store at 4°C short term. For long term storage, store at -20°C, avoiding freeze/thaw cycles.
No comments: Submit comment
Supportive validation
- Submitted by
- Invitrogen Antibodies (provider)
- Main image

- Experimental details
- Immunohistochemical staining of TMEM88B in human cerebral cortex and pancreas tissues using TMEM88B Polyclonal Antibody (Product # PA5-64245). Corresponding TMEM88B RNA-seq data are presented for the same tissues.
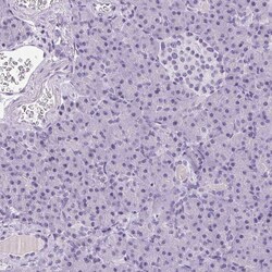
- Submitted by
- Invitrogen Antibodies (provider)
- Main image

- Experimental details
- Immunohistochemical staining of TMEM88B in human pancreas using TMEM88B Polyclonal Antibody (Product # PA5-64245) shows low expression as expected.
- Submitted by
- Invitrogen Antibodies (provider)
- Main image

- Experimental details
- Immunohistochemical staining of TMEM88B in human cerebral cortex using TMEM88B Polyclonal Antibody (Product # PA5-64245) shows high expression.