Antibody data
- Antibody Data
- Antigen structure
- References [0]
- Comments [0]
- Validations
- Western blot [1]
- Immunohistochemistry [1]
Submit
Validation data
Reference
Comment
Report error
- Product number
- LS-C499629 - Provider product page 
- Provider
- LSBio
- Product name
- PSMA3 Antibody LS-C499629
- Antibody type
- Polyclonal
- Description
- Protein G purified
- Reactivity
- Human, Mouse, Rat
- Host
- Rabbit
- Isotype
- IgG
- Storage
- Short term: -20°C; Long term: -80°C; Avoid freeze-thaw cycles.
				No comments: Submit comment	
	
			
							
					Enhanced validation
					
									
				
				- Submitted by
- LSBio (provider)
- Enhanced method
- Genetic validation
- Main image
 
- Experimental details
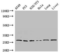
- Positive WB detected in:A549 whole cell lysate,PC3 whole cell lysate,NIH/3T3 whole cell lysate,Hela whole cell lysate,Rat lung tissue,Mouse liver tissue;All lanes:PSMA3 antibody at 2.7?g/ml;Secondary;Goat polyclonal to rabbit IgG at 1/50000 dilution;Predicted band size: 29,28 KDa;Observed band size: 29 KDa;
							
					Supportive validation
					
									
				
		- Submitted by
- LSBio (provider)
- Enhanced method
- Genetic validation
- Main image
 
- Experimental details
- Immunohistochemistry of paraffin-embedded human brain tissue using PSMA3 Antibody at dilution of 1:100