Antibody data
- Antibody Data
- Antigen structure
- References [0]
- Comments [0]
- Validations
- Immunohistochemistry [2]
- Flow cytometry [2]
Submit
Validation data
Reference
Comment
Report error
- Product number
- MA5-15618 - Provider product page

- Provider
- Invitrogen Antibodies
- Product name
- Nkx3.1 Monoclonal Antibody (4H4)
- Antibody type
- Monoclonal
- Antigen
- Purifed from natural sources
- Description
- MA5-15618 targets NKX3A in indirect ELISA, FACS, IHC, and WB applications and shows reactivity with Human samples. The MA5-15618 immunogen is purified recombinant fragment of human NKX3A expressed in E. Coli.. MA5-15618 detects NKX3A which has a predicted molecular weight of approximately 26.3kDa.
- Reactivity
- Human
- Host
- Mouse
- Isotype
- IgG
- Antibody clone number
- 4H4
- Vial size
- 100 μL
- Concentration
- Conc. Not Determined
- Storage
- Store at 4°C short term. For long term storage, store at -20°C, avoiding freeze/thaw cycles.
No comments: Submit comment
Supportive validation
- Submitted by
- Invitrogen Antibodies (provider)
- Main image

- Experimental details
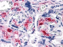
- Immunohistochemical analysis of paraffin-embedded human liver tissues using NKX3A monoclonal antibody (Product # MA5-15618).
- Submitted by
- Invitrogen Antibodies (provider)
- Main image

- Experimental details
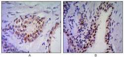
- Immunohistochemical analysis of paraffin-embedded human prostate tissues (A, B) using NKX3A monoclonal antibody (Product # MA5-15618) followed with DAB staining.
Supportive validation
- Submitted by
- Invitrogen Antibodies (provider)
- Main image

- Experimental details
- Flow cytometric analysis of PC-3 cells using NKX3A monoclonal antibody (Product # MA5-15618) (green) and negative control (purple).
- Submitted by
- Invitrogen Antibodies (provider)
- Main image

- Experimental details
- Flow cytometric analysis of PC-3 cells using NKX3A monoclonal antibody (Product # MA5-15618) (green) and negative control (purple).